症例紹介case
- TOP
- 症例紹介
成人矯正
小児期~10代女性 ガタガタを治したい
症例情報
- 症例名
- 出っ歯、上の歯にガタガタがある症例
- 患者様のご希望
- ガタガタを治したい
- 治療期間
- 3年10か月
- 費用
- 715,000円+39,600円(セラミックブラケット)
- 治療内容
- ヘッドギア+ワイヤー矯正(抜歯)
- 治療に伴うリスク・副作用
- ・矯正装置による不快感や違和感、軽い痛みは、通常数日から1〜2週間で慣れることが多いです。
・矯正治療では装置の適切な使用や定期的な通院など、患者さま自身の努力が求められます。治療結果や治療期間に影響を与えます。
・治療中は虫歯や歯周病のリスクが高まるため、丁寧な歯磨きや定期的なメンテナンスが重要です。また、歯が動くことで、隠れていた虫歯が露出することもあります。
・治療中に金属などに対するアレルギー反応が現れる場合があります。
患者様の情報
- 年齢
- 小児期~10代
- 性別
- 女性
- ご職業
- 学生
症例写真
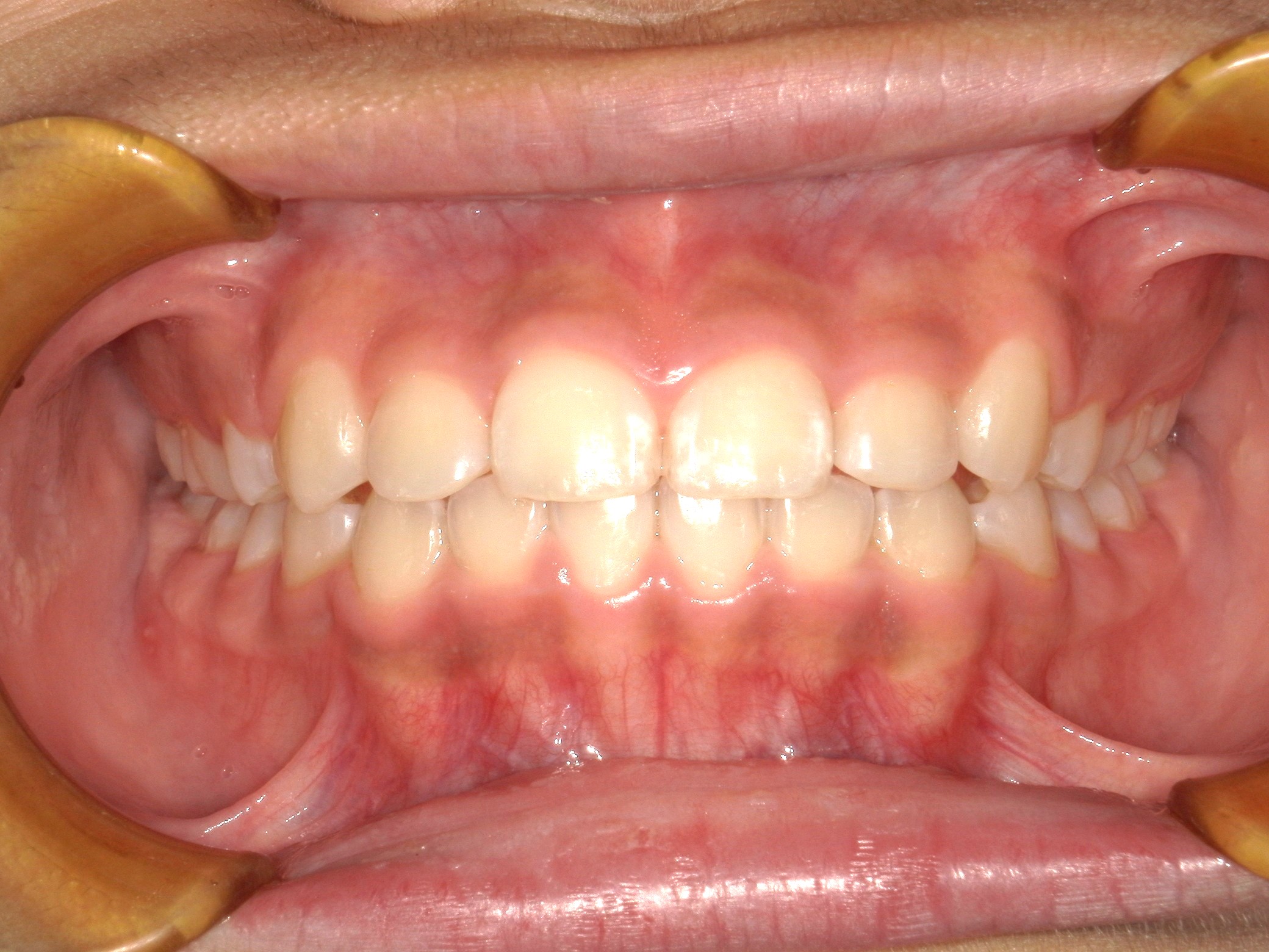
口内正面
治療前

治療後

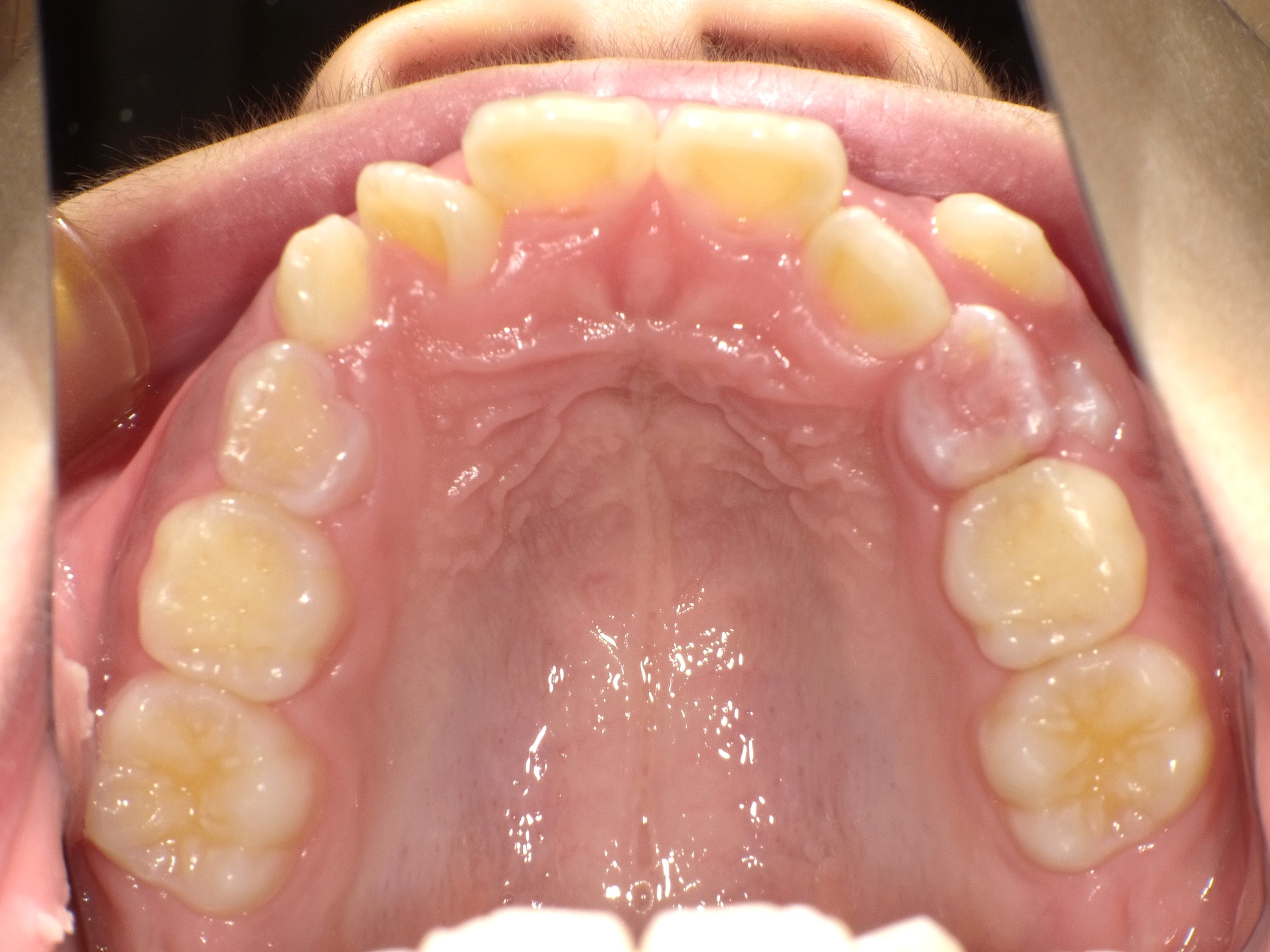
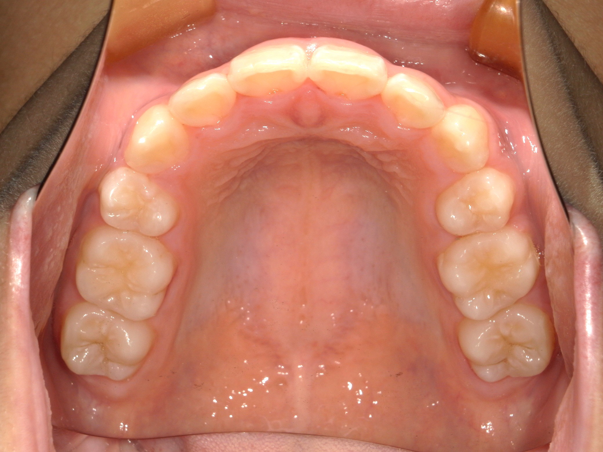
9歳時点の資料の分析の結果、上あごの骨が過成長が認められました。
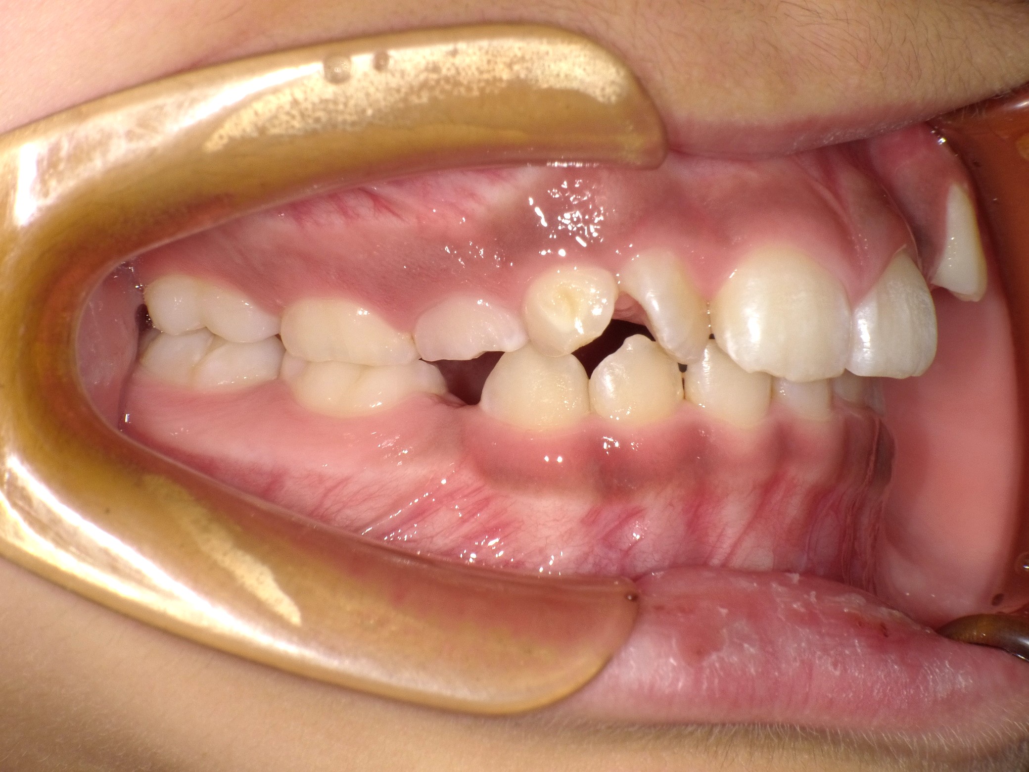
また上の歯のガタガタ、特に左側犬歯の低位唇側傾斜を認めました。
まずⅠ期治療ではヘッドギアを使って上あごの成長をコントロールしました。
永久歯が生えてから、再度診査を行い、上の歯のみの片顎抜去で仕上げを行うこととしました。
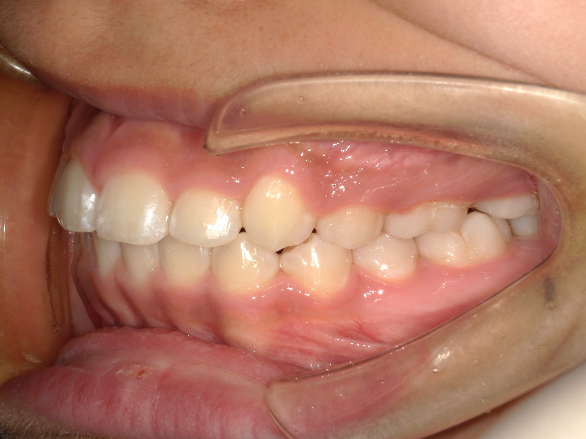
ワイヤー矯正にて、犬歯、臼歯関係をClⅡ仕上げという仕上げになるように調整しました。
口元の改善と、咬合関係が正しく仕上がり、患者さんからも喜んでいただける口元を達成することができました。
口内右
治療前

治療後

口内左
治療前

治療後

口内上
治療前

治療後

口内下
治療前

治療後
