症例紹介case
- TOP
- 症例紹介
成人矯正
10代女性 上下のガタガタを改善したい チェック待ち
症例情報
- 症例名
- 上下の歯列に重度のガタガタがある、かみ合わせの深い症例
- 患者様のご希望
- 上下のガタガタを改善したい チェック待ち
- 治療期間
- 1年8か月
- 費用
- 715,000円+39,600円(セラミックブラケット)
- 治療内容
- ワイヤー矯正(抜歯を伴う)
- 治療に伴うリスク・副作用
- ・矯正装置による不快感や違和感、軽い痛みは、通常数日から1〜2週間で慣れることが多いです。
・矯正治療では装置の適切な使用や定期的な通院など、患者さま自身の努力が求められます。治療結果や治療期間に影響を与えます。
・治療中は虫歯や歯周病のリスクが高まるため、丁寧な歯磨きや定期的なメンテナンスが重要です。また、歯が動くことで、隠れていた虫歯が露出することもあります。
・治療中に金属などに対するアレルギー反応が現れる場合があります。
患者様の情報
- 年齢
- 10代
- 性別
- 女性
- ご職業
- 学生
症例写真
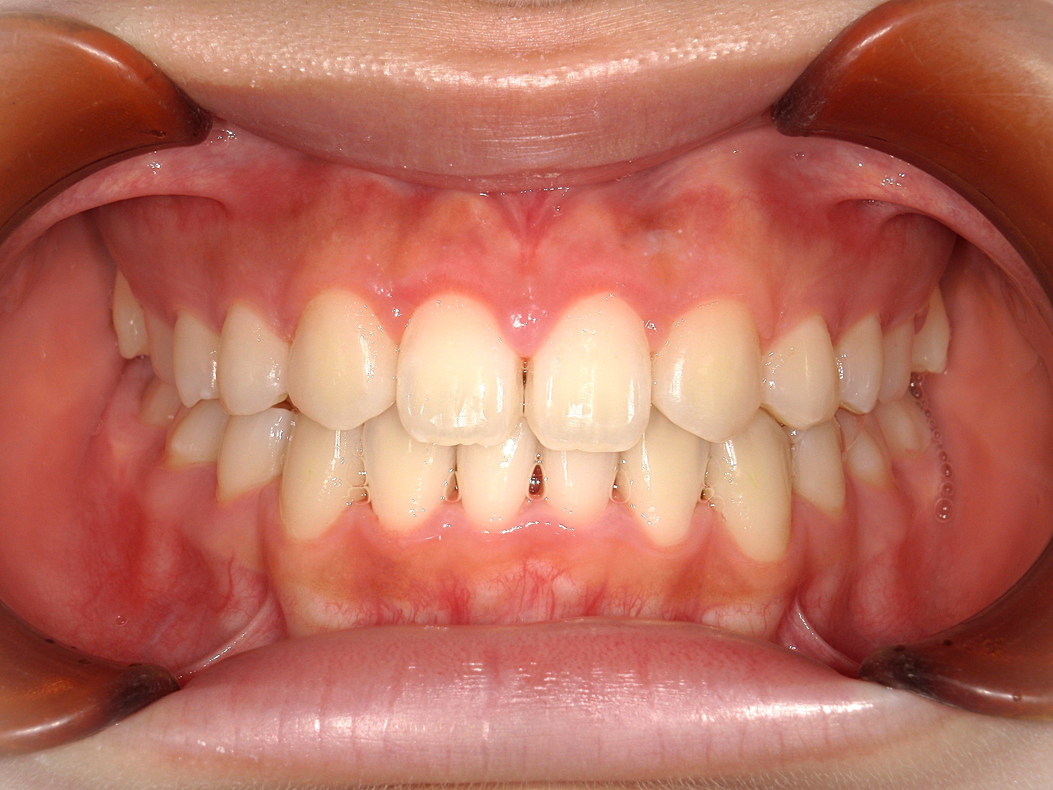
口内正面
治療前

治療後

上下の歯並びに凹凸があり、前歯の咬み合わせが深い状態でした。
また、上の前歯が2本、矮小歯(他の歯に比べて大きさが極端に小さい歯)でした。
歯を並べる隙間を作るため、上下共に歯を抜いて治療を行うこととしました。
上は矮小歯を、下は横の歯を抜いて治療を行いました。
上の歯は2番の歯を犬歯で代替しているので、上下の大きさの違いが出るのですが、不自然にならないよう幅をわずかに調節して仕上げています。
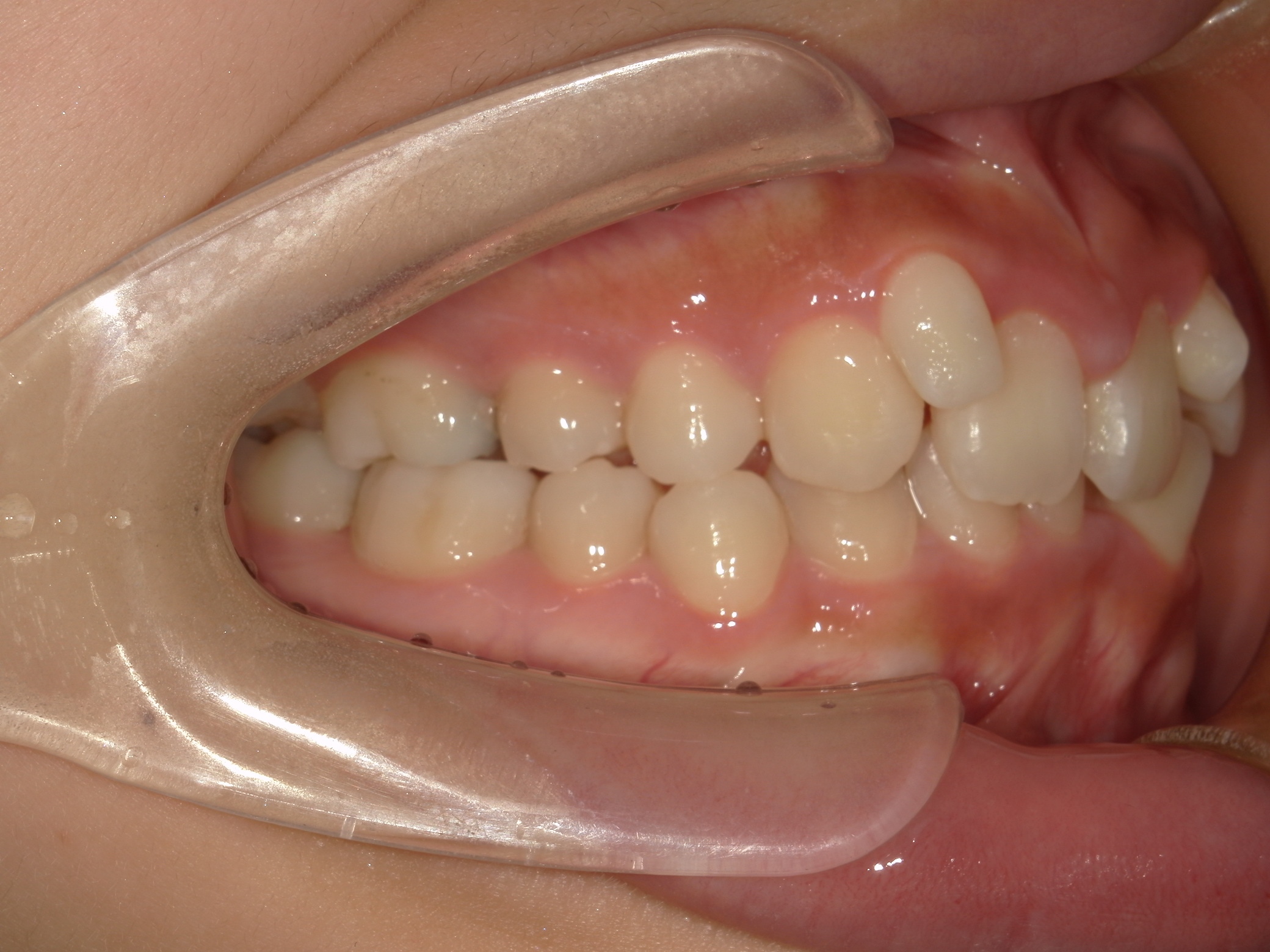
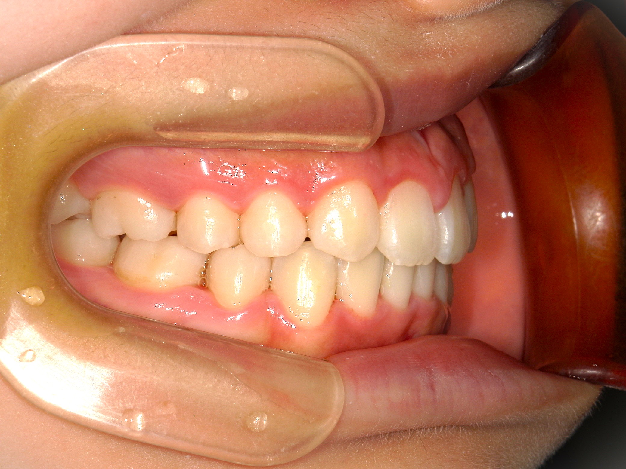
口内右
治療前

治療後

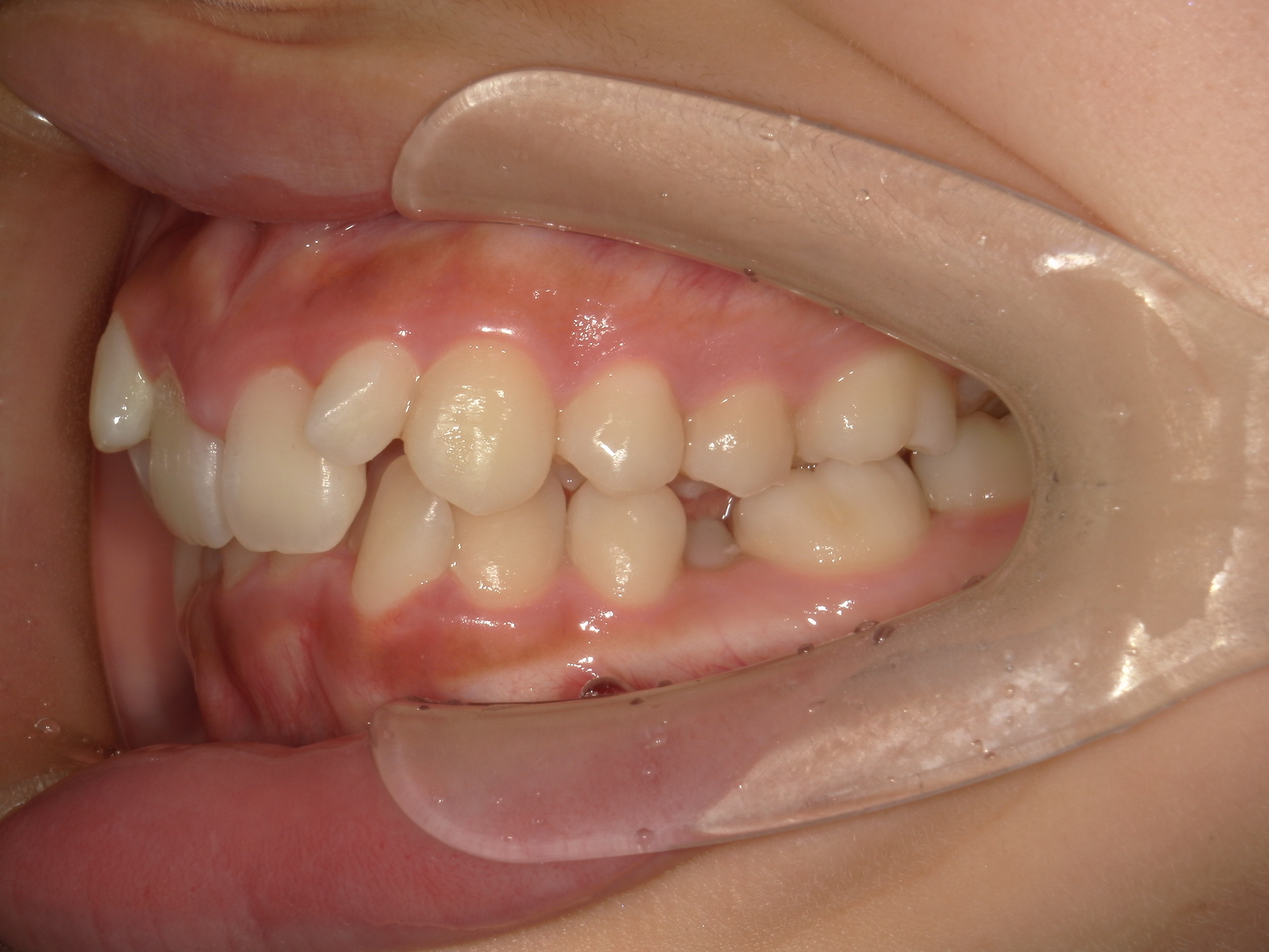
口内左
治療前

治療後

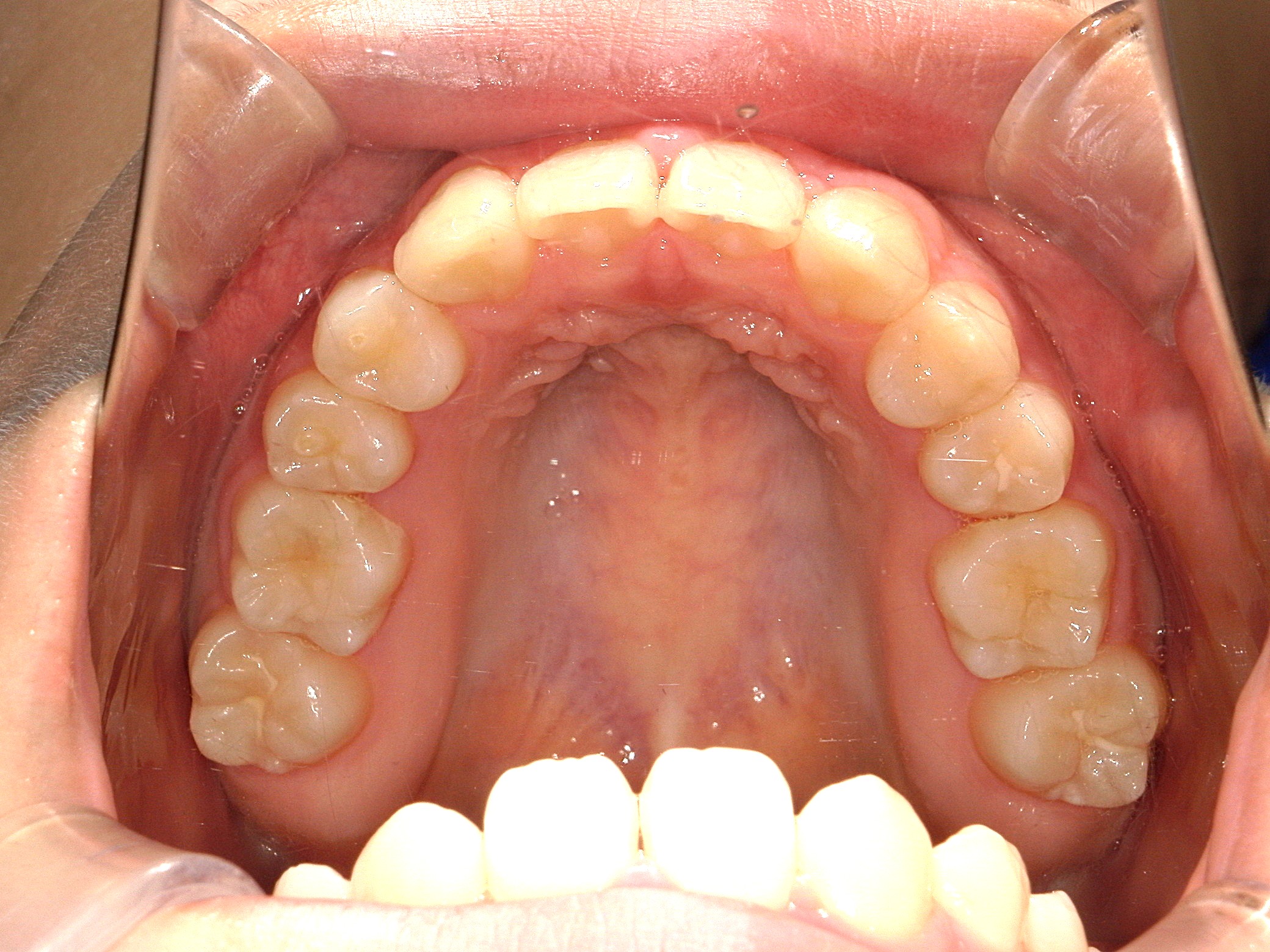
口内上
治療前

治療後

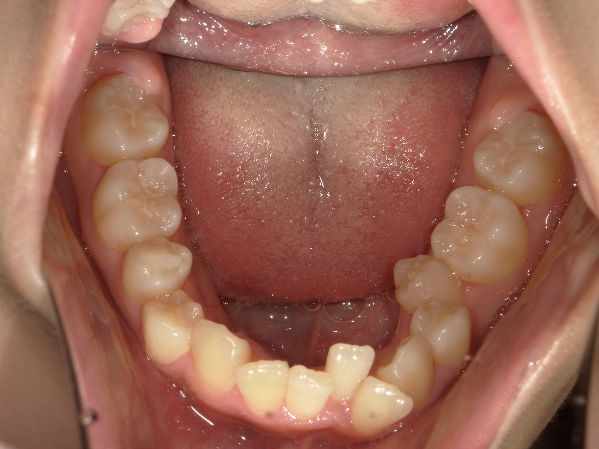
口内下
治療前

治療後
