症例紹介case
- TOP
- 症例紹介
成人矯正
10代女性 口元の出ている感じを治したい・前歯の咬み合わせも治してほしい
症例情報
- 症例名
- 出っ歯、下の前歯が先天的に一本少ない(Three incisors)症例
- 患者様のご希望
- 口元の出ている感じを治したい・前歯の咬み合わせも治してほしい
- 治療期間
- 1年11ヶ月
- 費用
- 825000
- 治療内容
- インビザライン(マウスピース矯正)上顎左右抜歯
- 治療に伴うリスク・副作用
- ・矯正装置による不快感や違和感、軽い痛みは、通常数日から1〜2週間で慣れることが多いです。
・矯正治療では装置の適切な使用や定期的な通院など、患者さま自身の努力が求められます。治療結果や治療期間に影響を与えます。
・治療中は虫歯や歯周病のリスクが高まるため、丁寧な歯磨きや定期的なメンテナンスが重要です。また、歯が動くことで、隠れていた虫歯が露出することもあります。
・治療中に金属などに対するアレルギー反応が現れる場合があります。
患者様の情報
- 年齢
- 10代
- 性別
- 女性
- ご職業
- 学生
症例写真
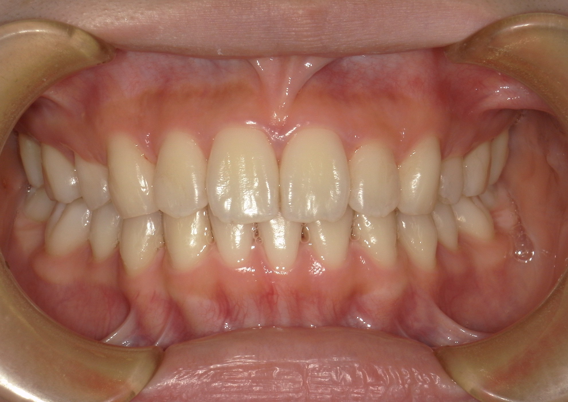
口内正面
治療前

治療後

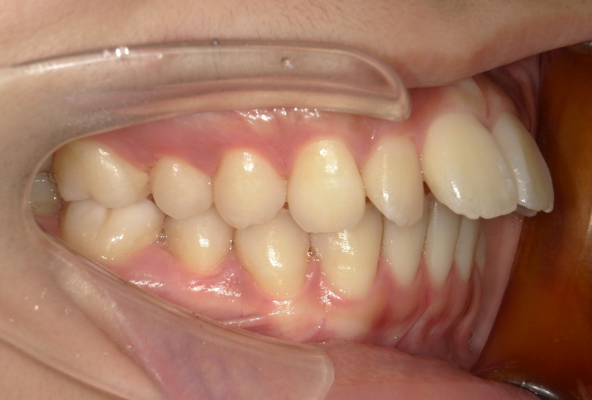
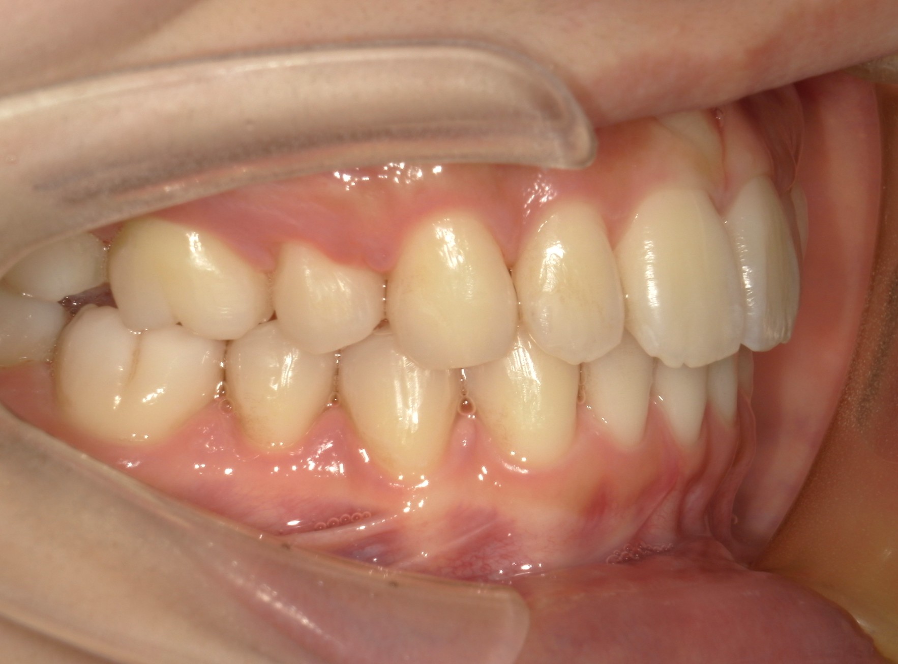
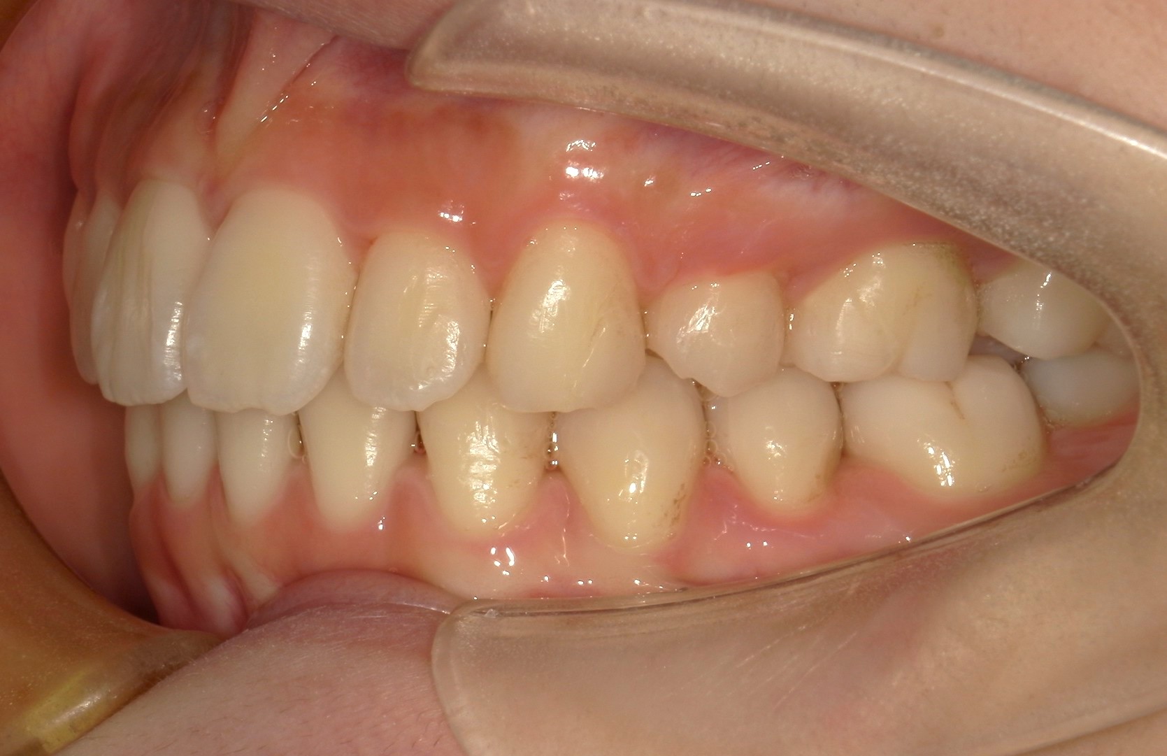
横から見た口腔内写真でよくわかるように、前歯が出っ歯になっており、全く咬んでいない状態でした。また下の前歯が本来4本あるところが、先天的に一本少なく3本しかない(Three incisors)であったため下顎のアーチが小さいというお口の状態でした。前歯を正しい傾きに治し、咬合させるため、上の歯のみ2本の抜歯を行うこととしました。下の前歯が3本のため、その正中に注意しながら前歯の傾きを修正し、奥歯のポジションを整えて仕上げました。口元の突出感は大きく改善し、咬合も良好な状態で完了することができました。
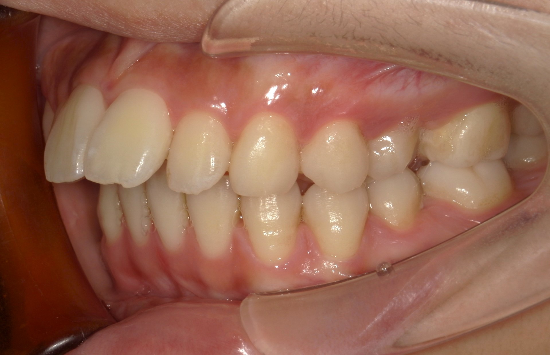
口内右
治療前

治療後

口内左
治療前

治療後

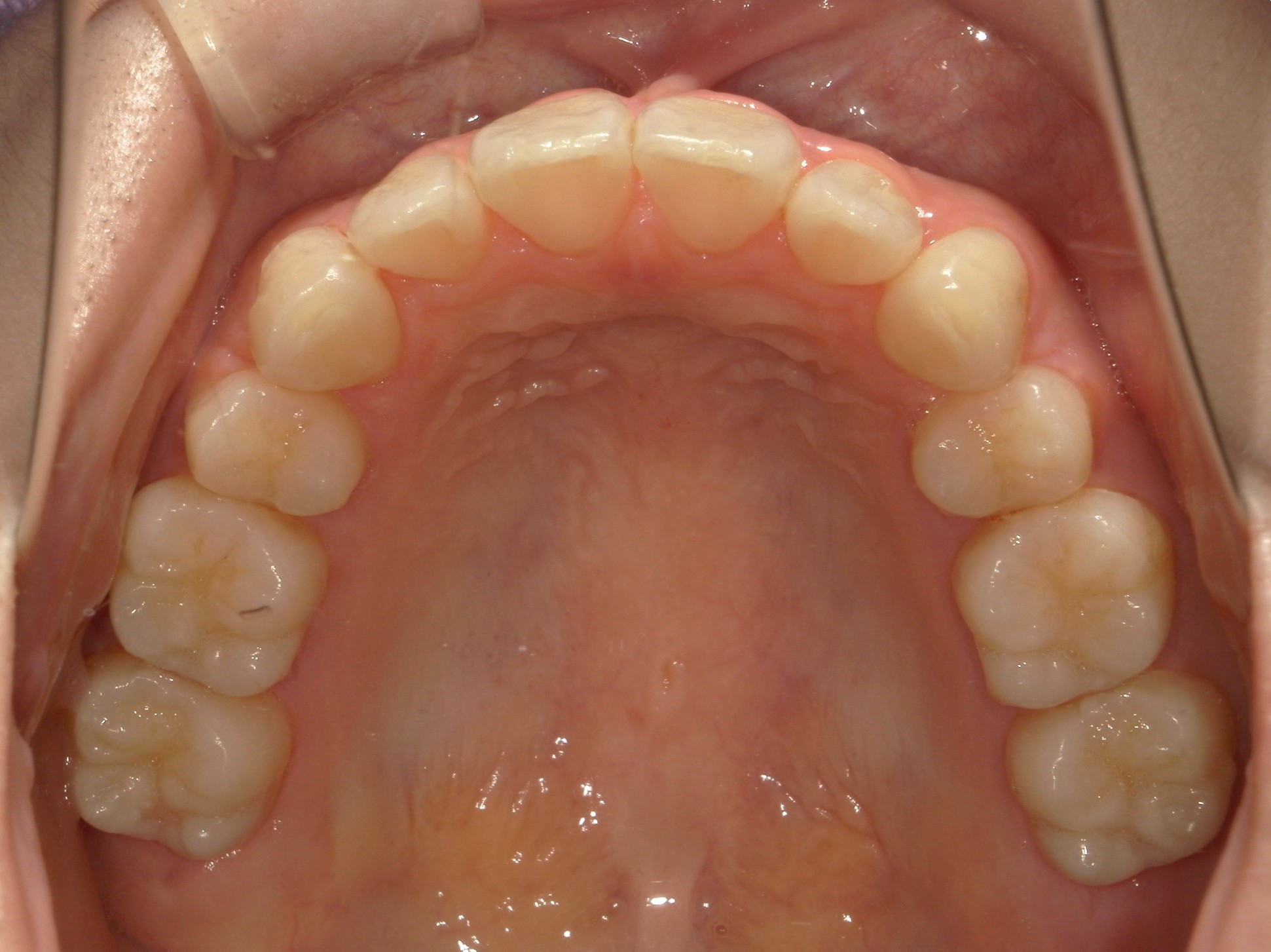
口内上
治療前

治療後

口内下
治療前

治療後
