症例紹介case
- TOP
- 症例紹介
成人矯正
10代男性 上下のガタガタを改善したい
症例情報
- 症例名
- 出っ歯、上下の歯に軽度のガタガタがある症例
- 患者様のご希望
- 上下のガタガタを改善したい
- 治療期間
- 2年2か月
- 費用
- 715,000円+39,600円(セラミックブラケット)
- 治療内容
- ワイヤー矯正治療(抜歯を伴う)
- 治療に伴うリスク・副作用
- ・矯正装置による不快感や違和感、軽い痛みは、通常数日から1〜2週間で慣れることが多いです。
・矯正治療では装置の適切な使用や定期的な通院など、患者さま自身の努力が求められます。治療結果や治療期間に影響を与えます。
・治療中は虫歯や歯周病のリスクが高まるため、丁寧な歯磨きや定期的なメンテナンスが重要です。また、歯が動くことで、隠れていた虫歯が露出することもあります。
・治療中に金属などに対するアレルギー反応が現れる場合があります。
患者様の情報
- 年齢
- 10代
- 性別
- 男性
- ご職業
- 学生
症例写真
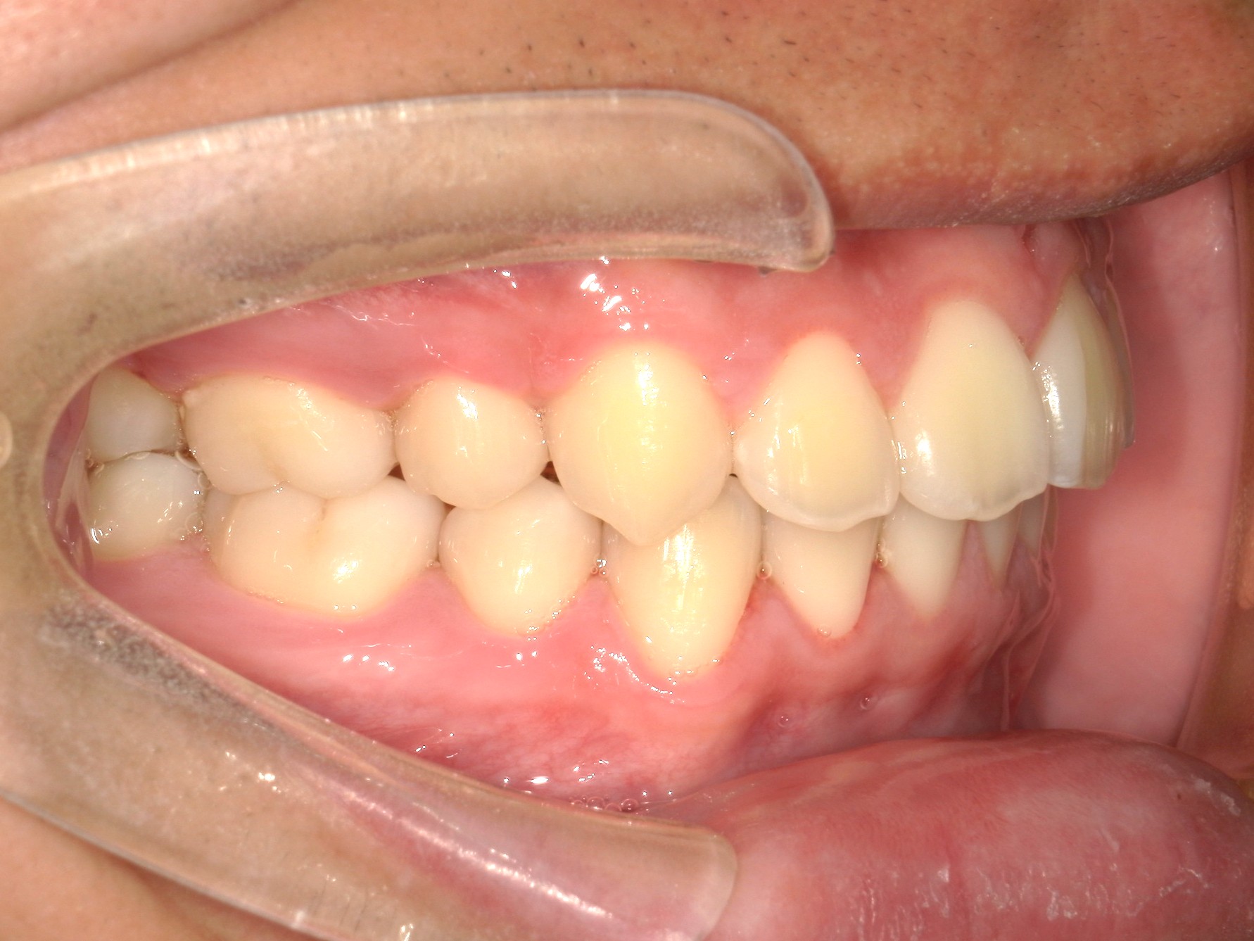
口内正面
治療前

治療後

上の前歯の前突と上下顎歯列のがたつきを認めました。
上の歯を後方へ移動させるスペースと、上下の歯のがたつきを改善するため、上下の歯をそれぞれ2本ずつ抜きました。
治療の仕上げの段階では顎間ゴムを使用して上下の歯が緊密に噛み合うようにしました。
結果、上の前歯の前突感と上下の歯列のがたつきが改善し、審美性も良好に仕上げることが出来ました。
口内右
治療前

治療後

口内左
治療前

治療後

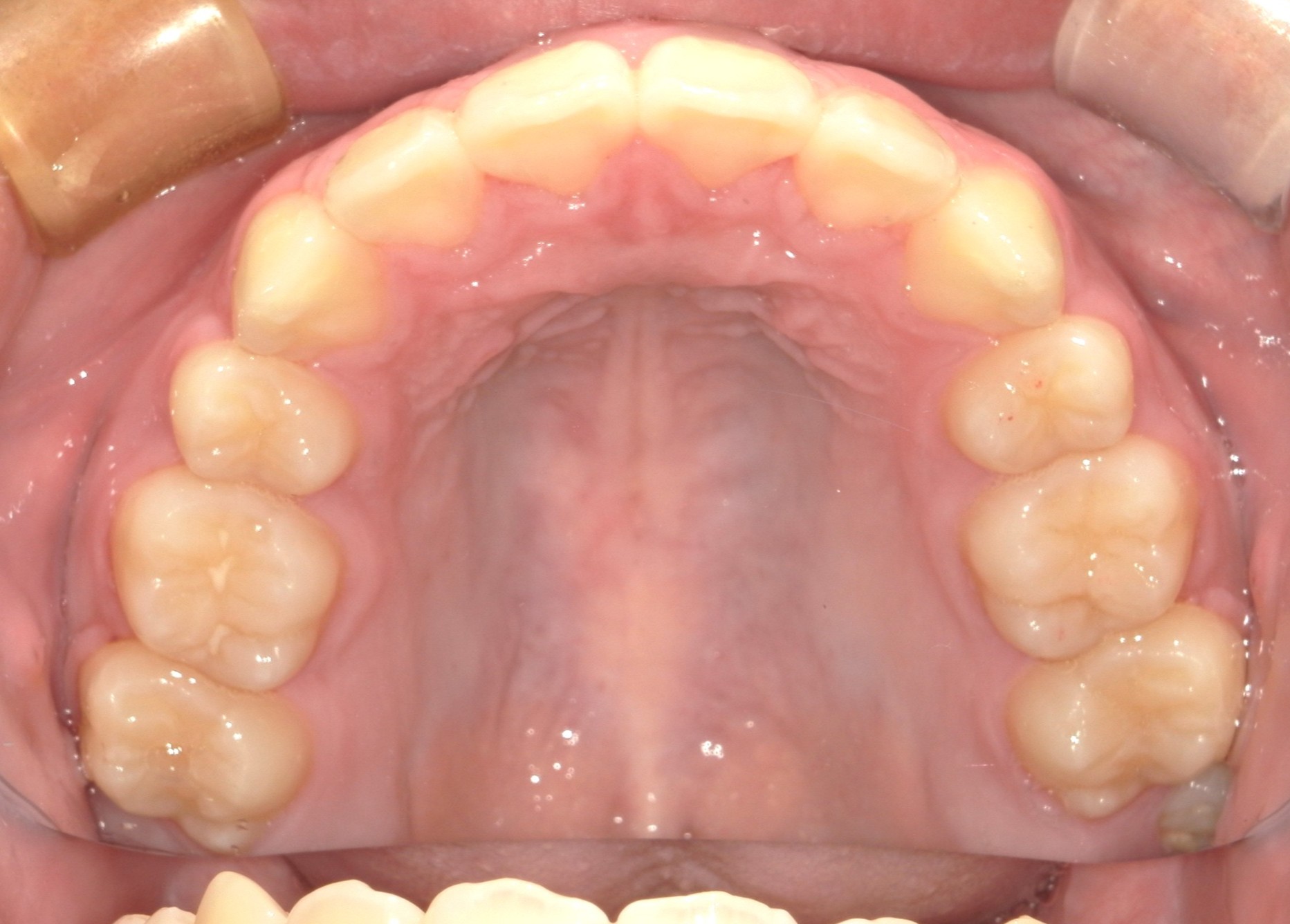
口内上
治療前

治療後

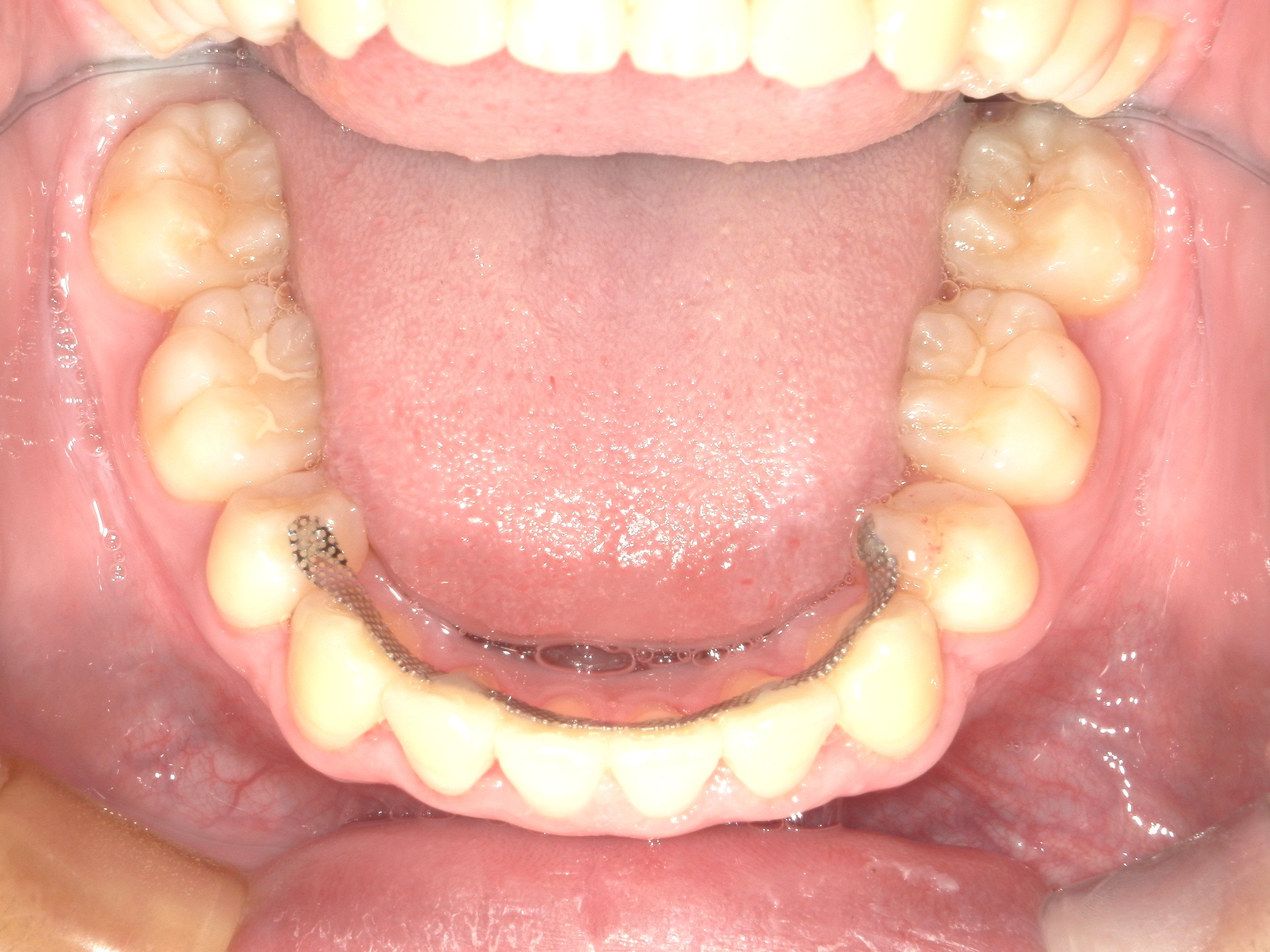
口内下
治療前

治療後
