症例紹介case
- TOP
- 症例紹介
小児矯正
10代男性 前歯の歯ぐきの高さの違い、上の前歯が内側に入っているのを治したい
症例情報
- 症例名
- すきっ歯、上の前歯が反対に咬んでいる(クロスバイト)
- 患者様のご希望
- 前歯の歯ぐきの高さの違い、上の前歯が内側に入っているのを治したい
- 治療期間
- 6年1か月
- 費用
- 715,000円+
- 治療内容
- リンガルアーチ(歯の裏側の装置)で上の前歯2本を外側へ出した後、ワイヤー矯正
- 治療に伴うリスク・副作用
- ・矯正装置による不快感や違和感、軽い痛みは、通常数日から1〜2週間で慣れることが多いです。
・矯正治療では装置の適切な使用や定期的な通院など、患者さま自身の努力が求められます。治療結果や治療期間に影響を与えます。
・治療中は虫歯や歯周病のリスクが高まるため、丁寧な歯磨きや定期的なメンテナンスが重要です。また、歯が動くことで、隠れていた虫歯が露出することもあります。
・治療中に金属などに対するアレルギー反応が現れる場合があります。
患者様の情報
- 年齢
- 10代
- 性別
- 男性
- ご職業
- 学生
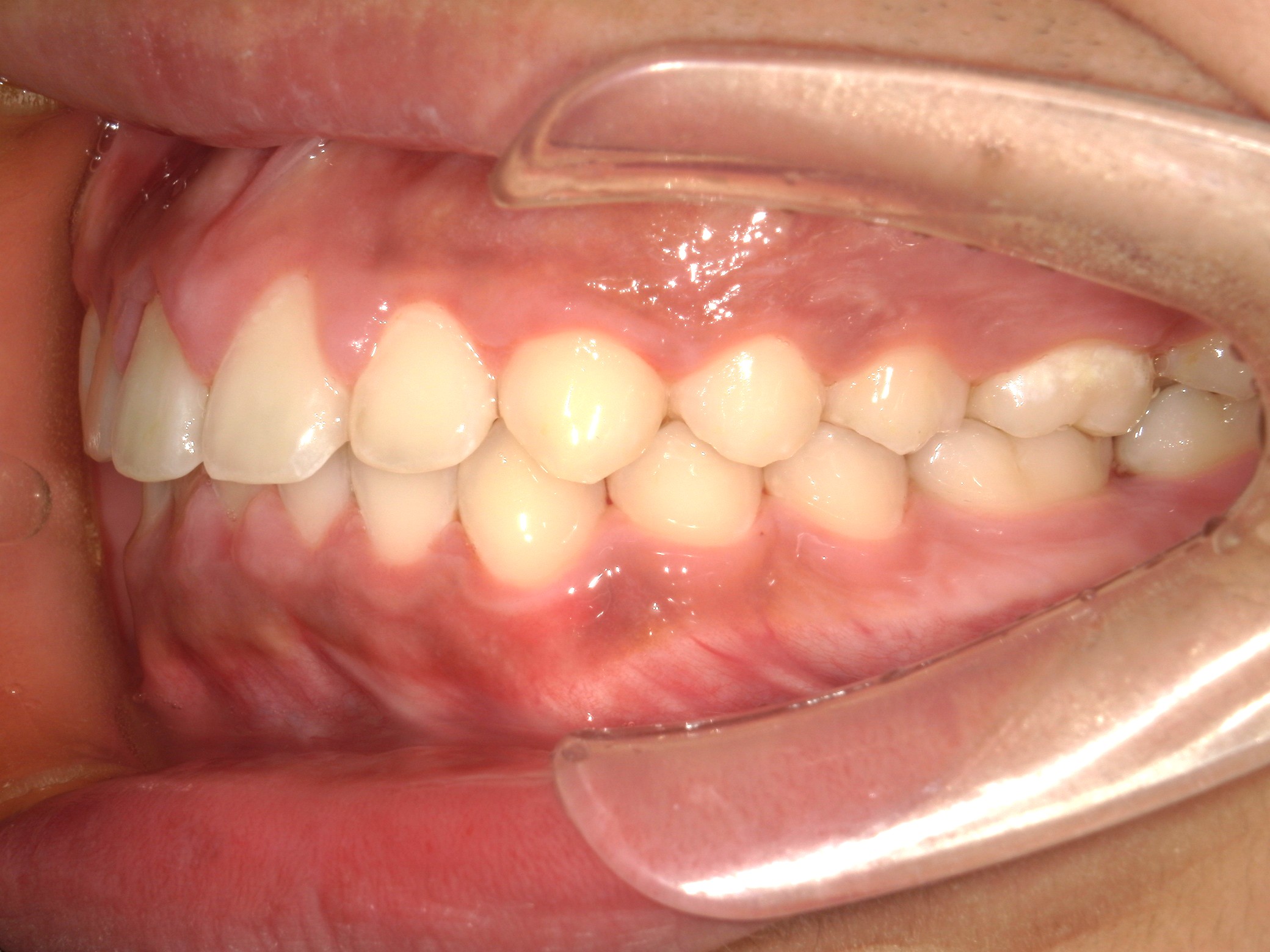
症例写真
口内正面
治療前

治療後

口内右
治療前

治療後

口内左
治療前

治療後

口内上
治療前

治療後

口内下
治療前

治療後
