症例紹介case

- TOP
- 症例紹介
成人矯正
20代女性 下あごがでている、受け口を治したい
症例情報
- 症例名
- 上下の歯列に軽度のがたつきを認める、受け口の骨格の症例
- 患者様のご希望
- 下あごがでている、受け口を治したい
- 治療期間
- 3年2ヶ月
- 費用
- 治療内容
- 外科的矯正治療
- 治療に伴うリスク・副作用
- ・矯正装置による不快感や違和感、軽い痛みは、通常数日から1〜2週間で慣れることが多いです。
・矯正治療では装置の適切な使用や定期的な通院など、患者さま自身の努力が求められます。治療結果や治療期間に影響を与えます。
・治療中は虫歯や歯周病のリスクが高まるため、丁寧な歯磨きや定期的なメンテナンスが重要です。また、歯が動くことで、隠れていた虫歯が露出することもあります。
・治療中に金属などに対するアレルギー反応が現れる場合があります。
患者様の情報
- 年齢
- 20代
- 性別
- 女性
症例写真
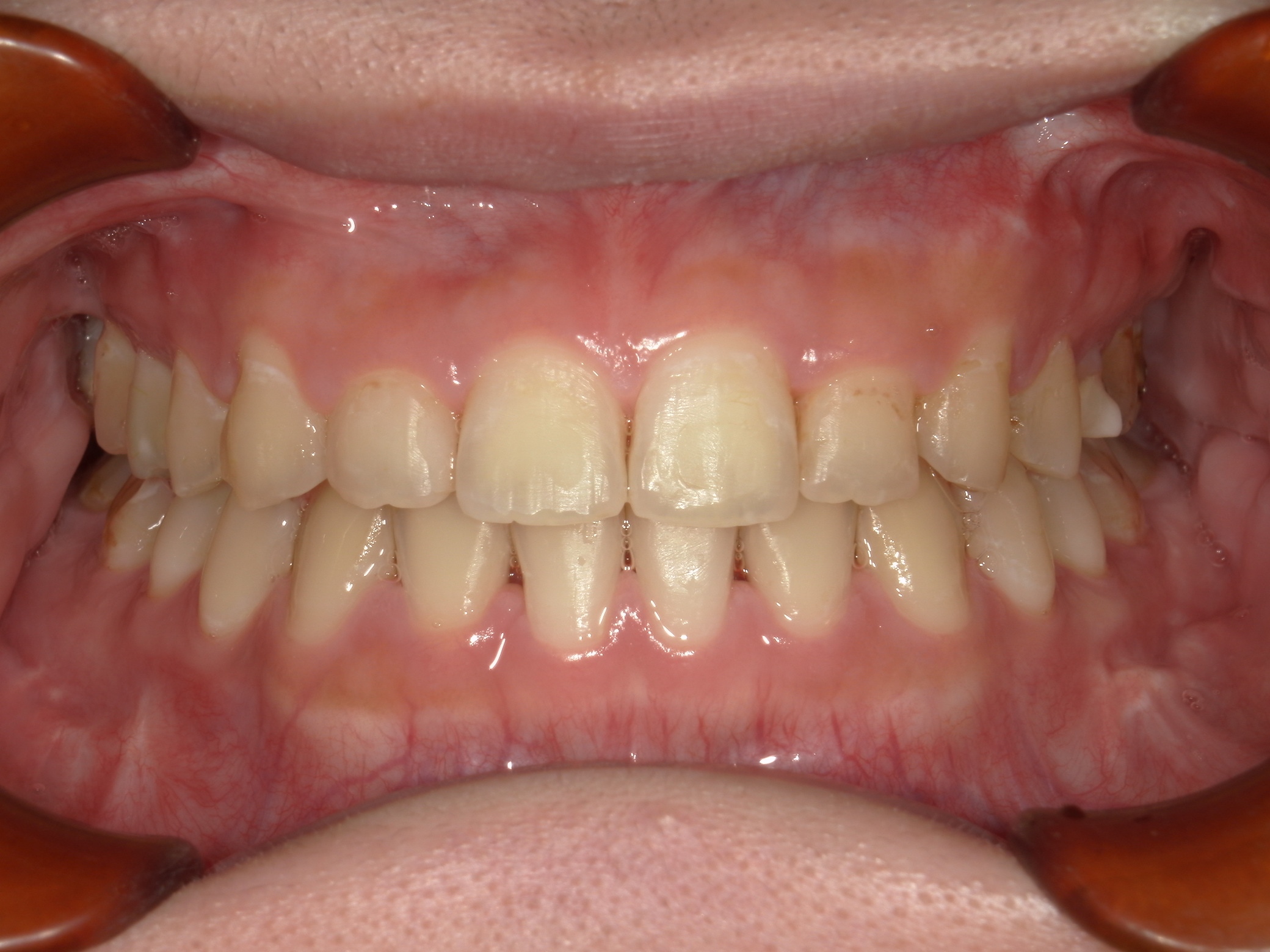
口内正面
治療前

治療後

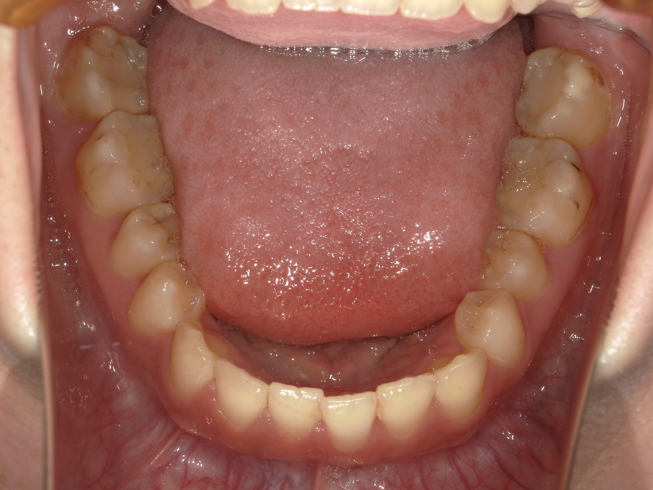
上下の歯列のがたつきは軽度でしたが、下あごの骨が前方に位置しており、上下の前歯が突き合わせの咬み合わせになっていました。
セファロ写真の分析の結果を踏まえ、上下顎の外科的矯正治療を行うこととしました。
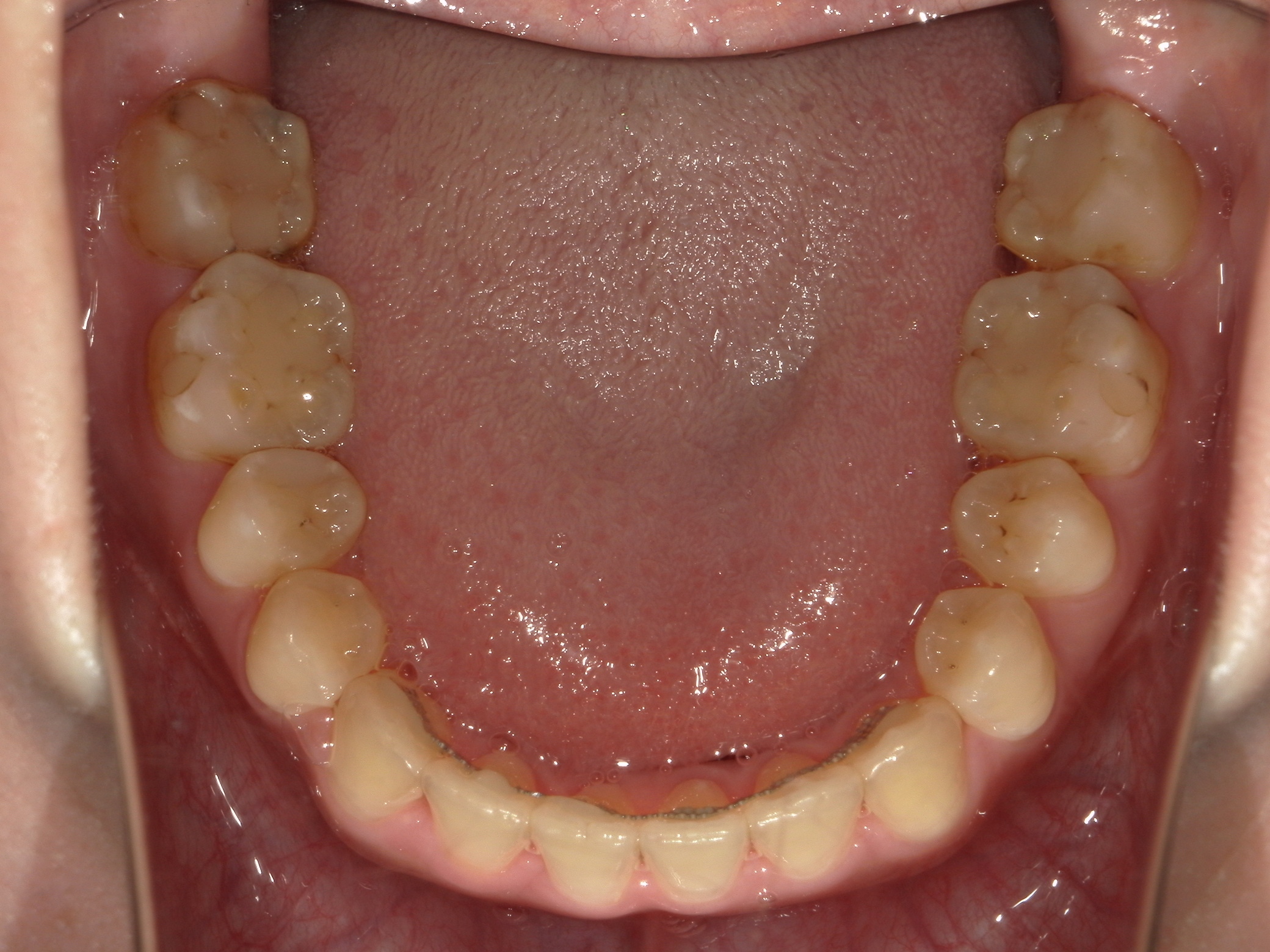
上下の歯を並べた後、上下のあごの骨を切って動かす手術を行い、骨格から改善を行いました。
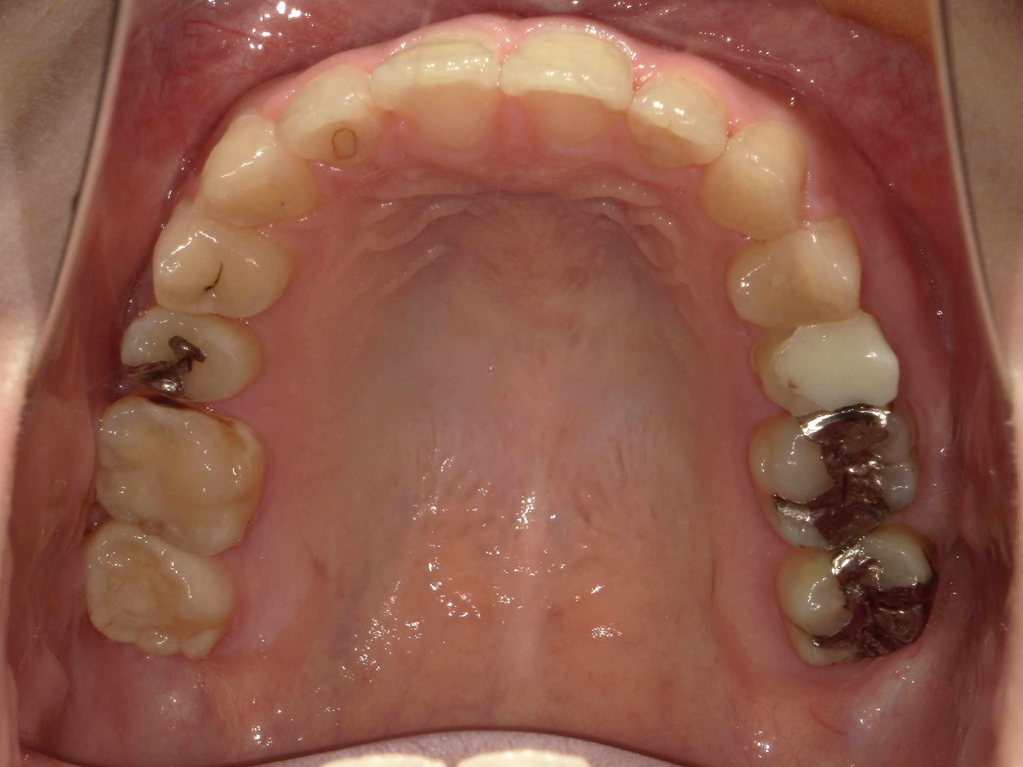
結果、治療後の写真の通り正中は一致し、犬歯・臼歯ともに正しいポジションにて、美しい見た目と適切なかみ合わせを獲得できました。
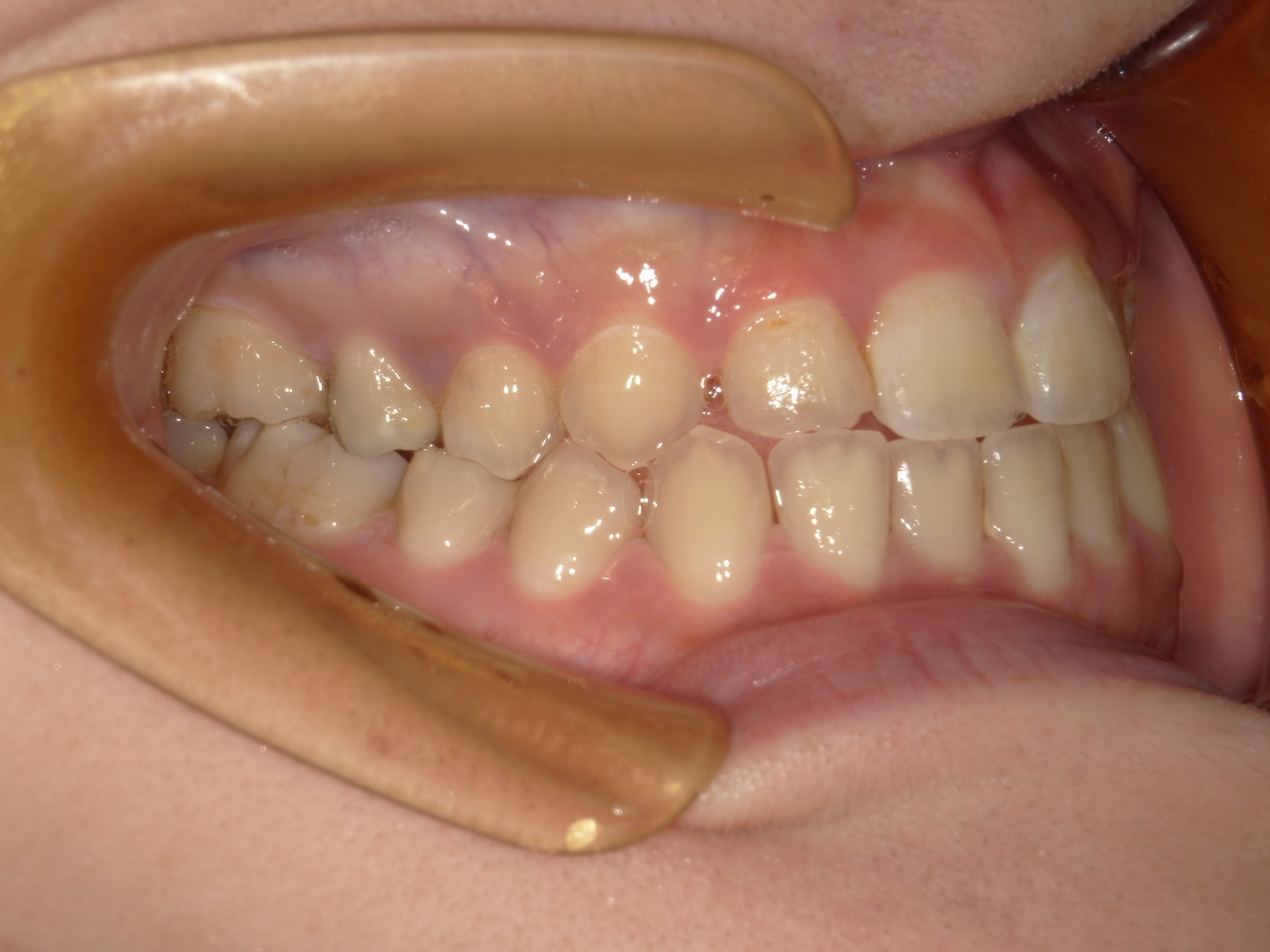
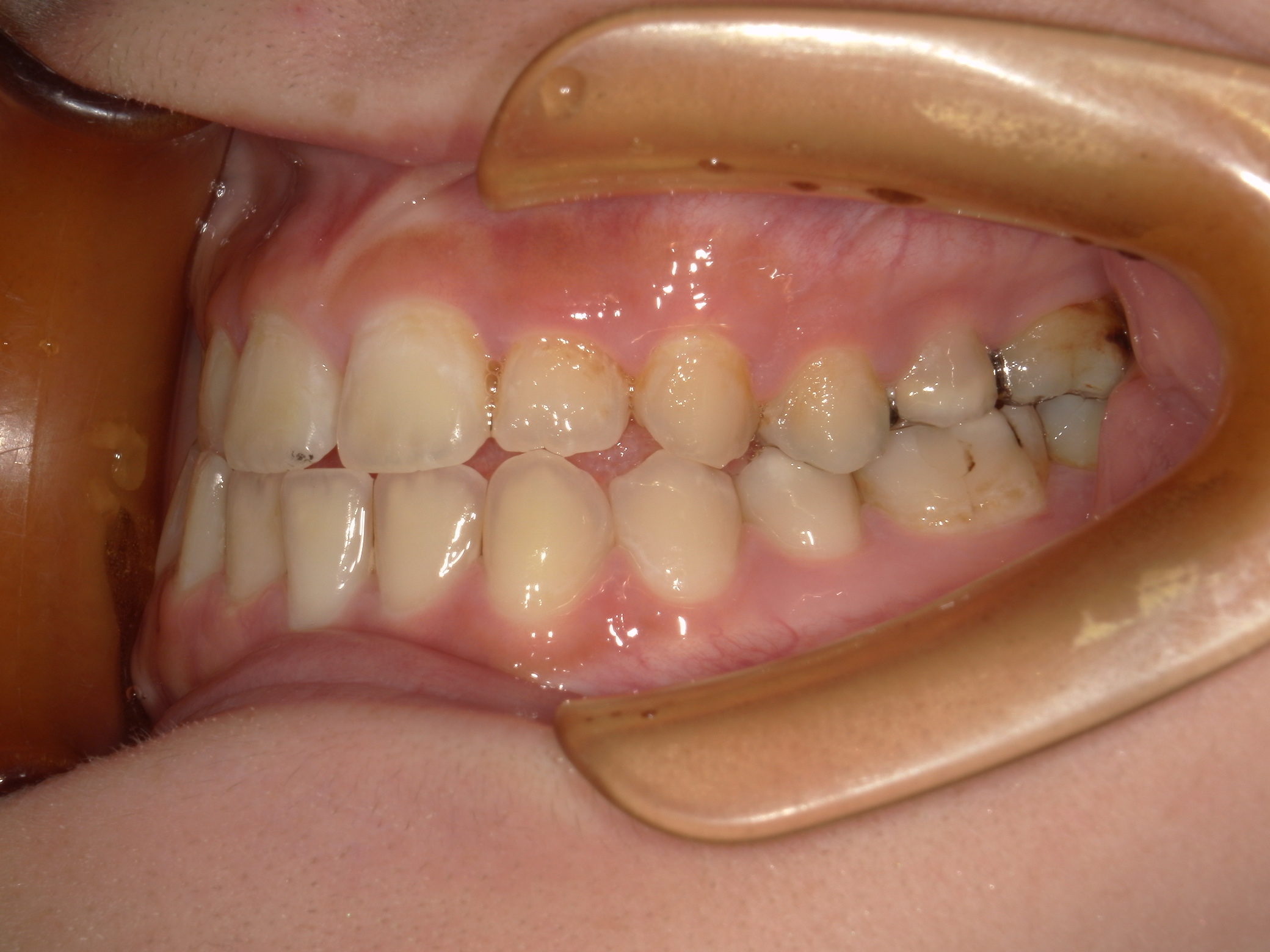
口内右
治療前

治療後

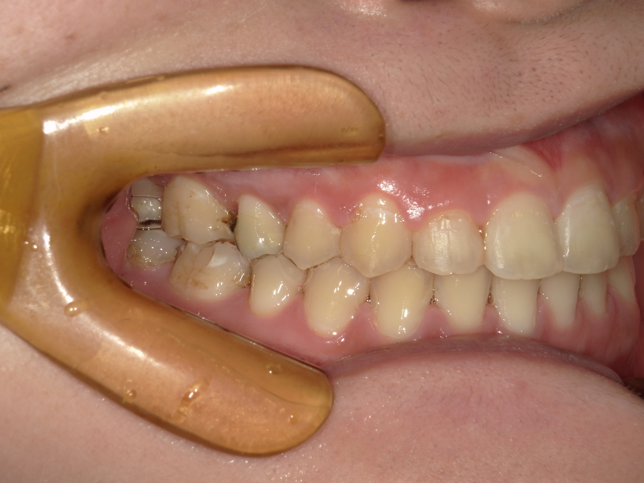
口内左
治療前

治療後

口内上
治療前

治療後

口内下
治療前

治療後
