症例紹介case
- TOP
- 症例紹介
成人矯正
20代女性 前歯の重なりが気になる、出っ歯を治したい
症例情報
- 症例名
- 上下の前歯にガタガタがある症例
- 患者様のご希望
- 前歯の重なりが気になる、出っ歯を治したい
- 治療期間
- 1年9か月
- 費用
- 715,000円+55,000円(歯科矯正用アンカースクリュー×2)
- 治療内容
- ワイヤー矯正(抜歯を伴う)
- 治療に伴うリスク・副作用
- ・矯正装置による不快感や違和感、軽い痛みは、通常数日から1〜2週間で慣れることが多いです。
・矯正治療では装置の適切な使用や定期的な通院など、患者さま自身の努力が求められます。治療結果や治療期間に影響を与えます。
・治療中は虫歯や歯周病のリスクが高まるため、丁寧な歯磨きや定期的なメンテナンスが重要です。また、歯が動くことで、隠れていた虫歯が露出することもあります。
・治療中に金属などに対するアレルギー反応が現れる場合があります。
患者様の情報
- 年齢
- 20代
- 性別
- 女性
症例写真
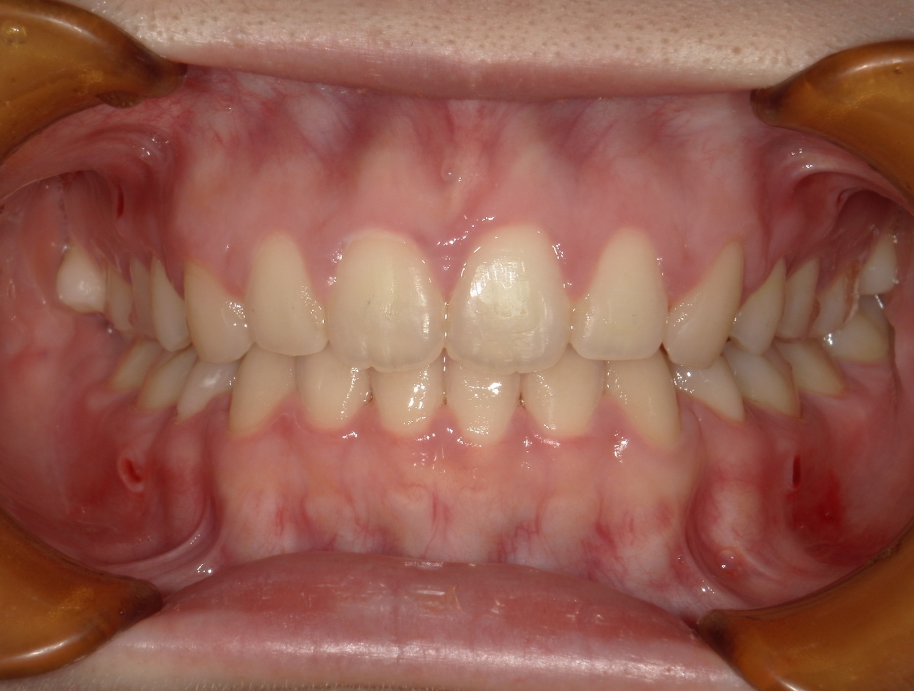
口内正面
治療前

治療後

上の前歯に重なりがあることと口元が前突していることが問題となっていました。
上の前歯は唇側に傾斜しており、全体的に手前に倒れるような歯の配置となっていました
検査の結果、傾斜を治し、口元を内側に引き込むため、上下の歯を抜いてワイヤー装置で歯を並べることとしました
抜歯によって得られたスペースを十分に活かすことで、上の前歯の重なりと、口元の前突感、全体的な歯の傾斜を改善することが出来ました。
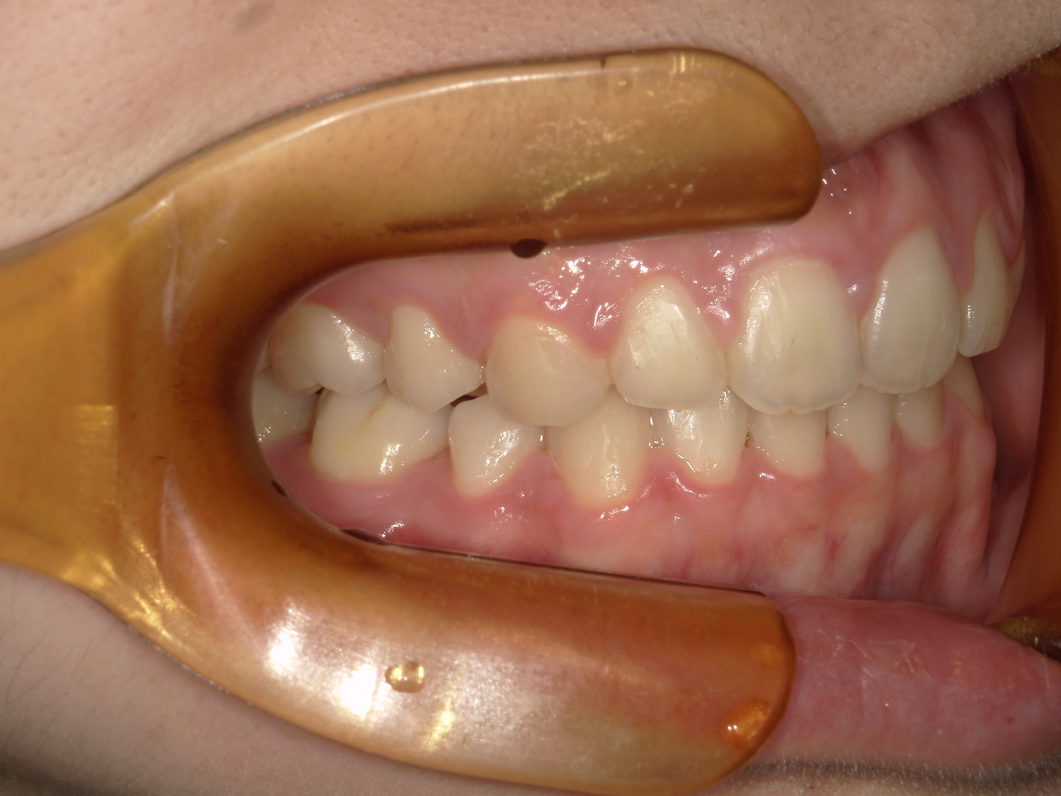
口内右
治療前

治療後

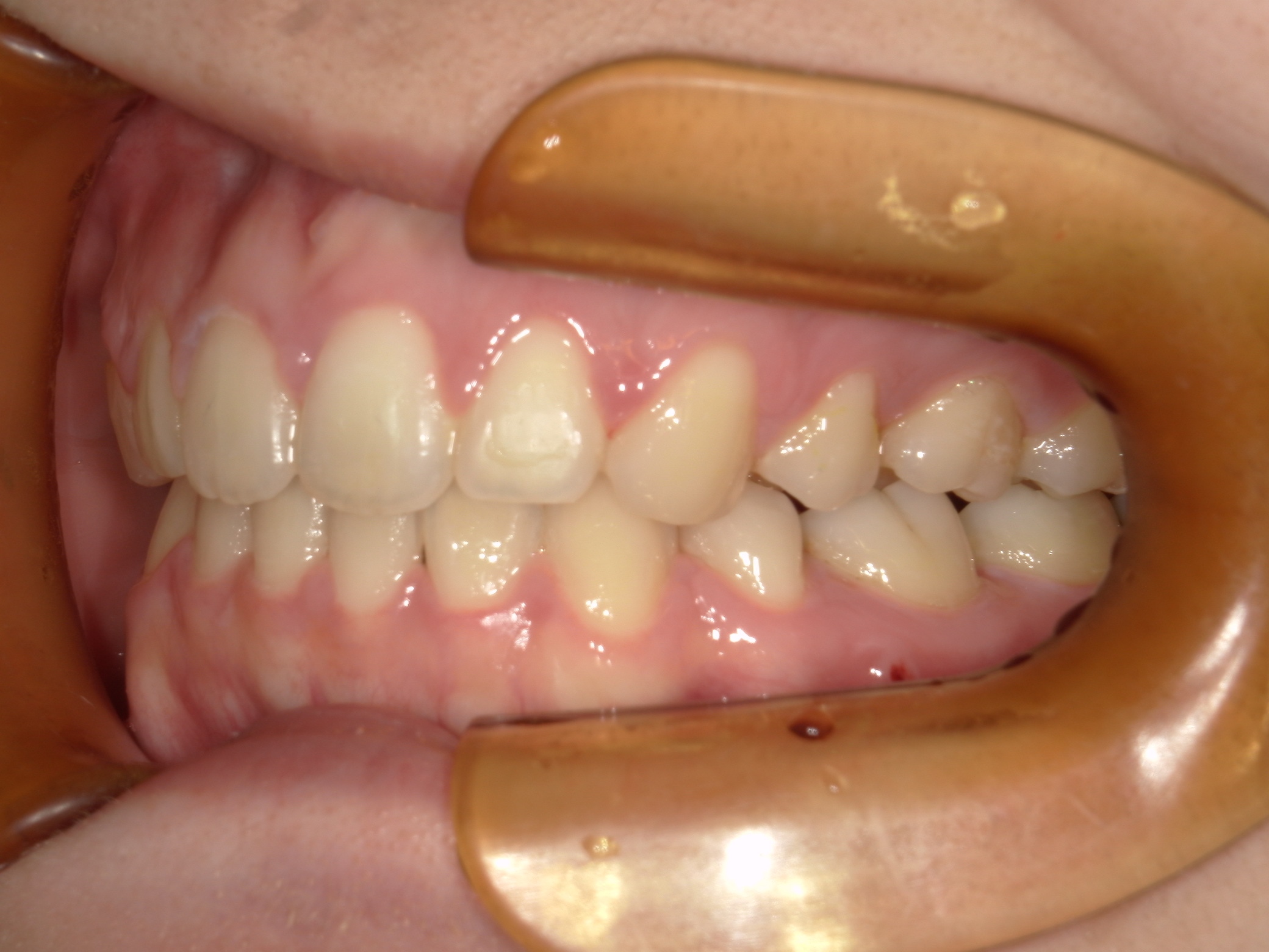
口内左
治療前

治療後

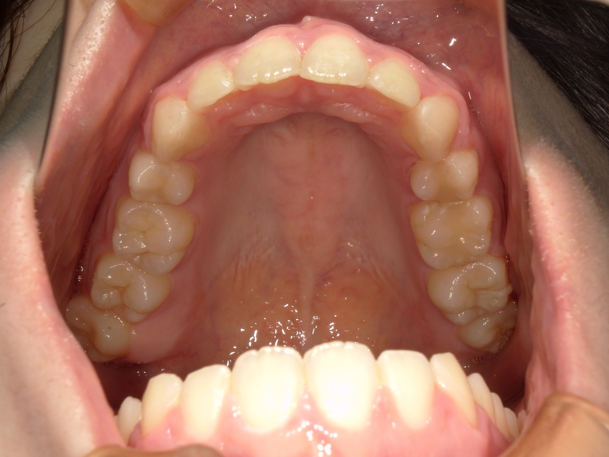
口内上
治療前

治療後

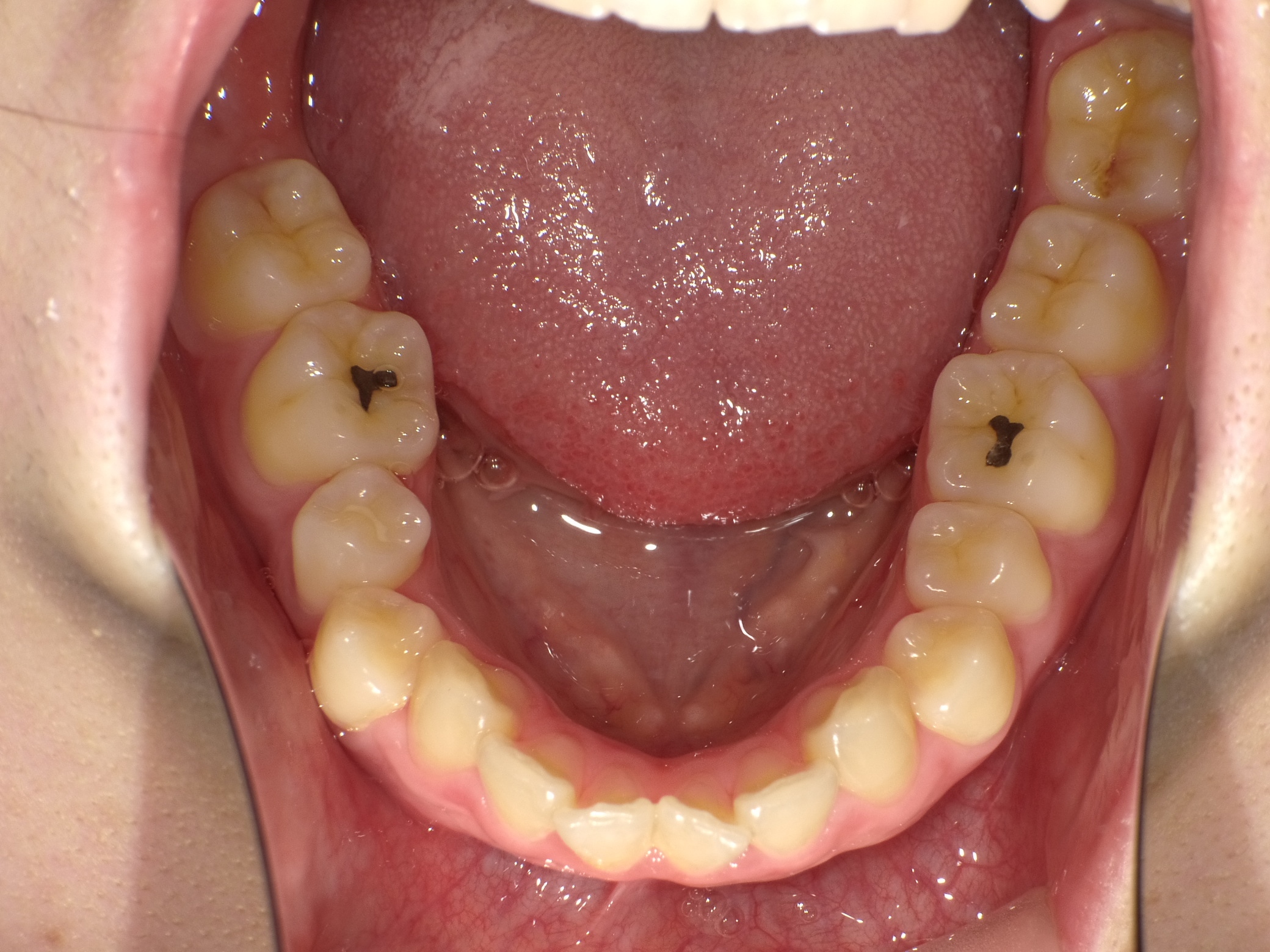
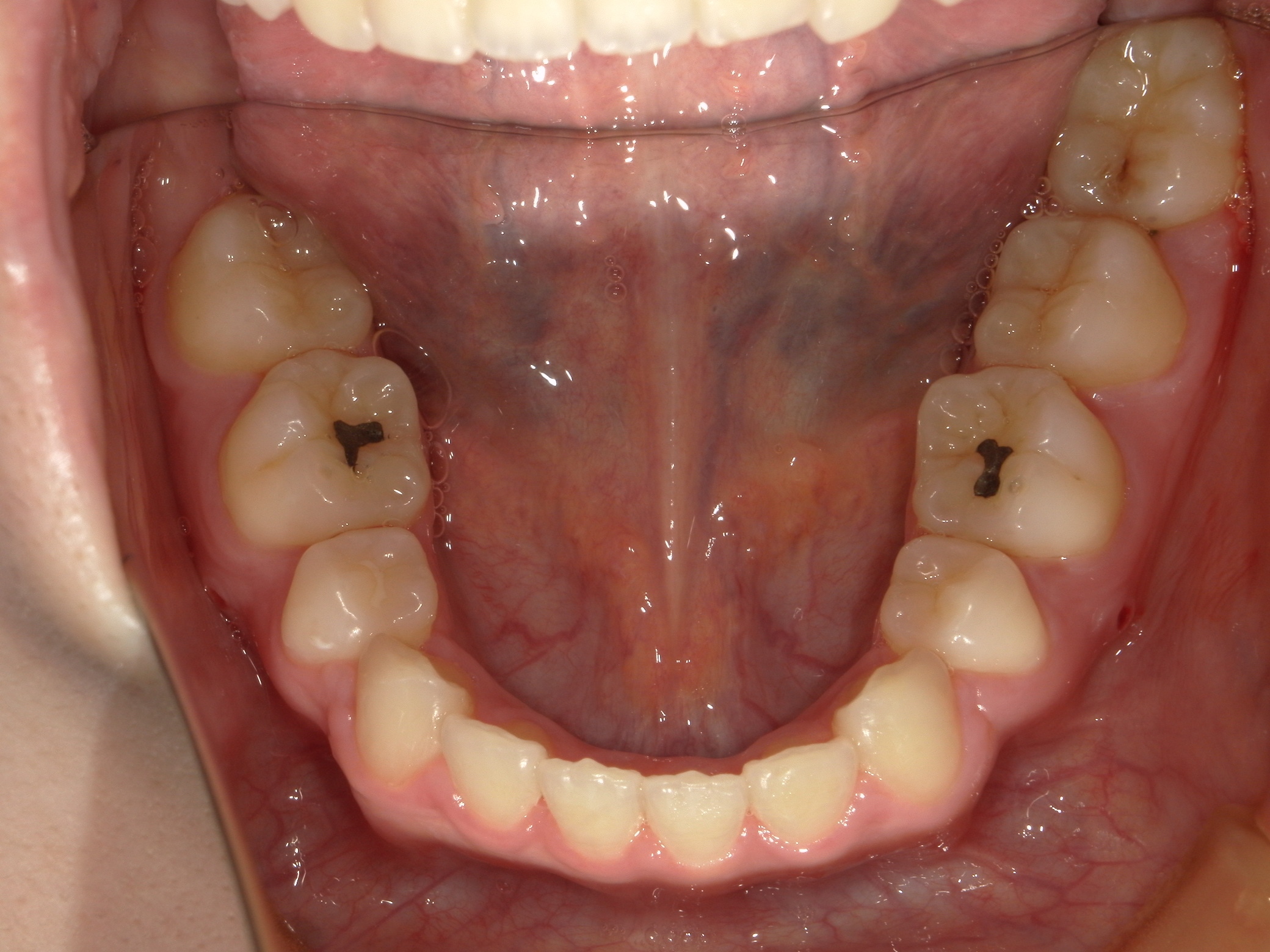
口内下
治療前

治療後
