症例紹介case
- TOP
- 症例紹介
成人矯正
30代女性 八重歯を治したい
症例情報
- 症例名
- 上の歯列に重度のがたつき・八重歯のある症例
- 患者様のご希望
- 八重歯を治したい
- 治療期間
- 2年2か月
- 費用
- 715,000円+82,500円(インプラントアンカー×3)+39,600円(セラミックブラケット)
- 治療内容
- ワイヤー矯正(抜歯を伴う) 上顎左側の犬歯が低位(上の方にあること)にあり、いわゆる八重歯の状態でした。 犬歯が本来入るべきスペースは完全に横の歯が寄ってしまっており、失われていた為、抜歯を行い配列としました。 正中を合わせるため、途中顎間ゴムを使用して最終の調整を行いました。
- 治療に伴うリスク・副作用
- ・矯正装置による不快感や違和感、軽い痛みは、通常数日から1〜2週間で慣れることが多いです。
・矯正治療では装置の適切な使用や定期的な通院など、患者さま自身の努力が求められます。治療結果や治療期間に影響を与えます。
・治療中は虫歯や歯周病のリスクが高まるため、丁寧な歯磨きや定期的なメンテナンスが重要です。また、歯が動くことで、隠れていた虫歯が露出することもあります。
・治療中に金属などに対するアレルギー反応が現れる場合があります。
患者様の情報
- 年齢
- 30代
- 性別
- 女性
症例写真
口内正面
治療前

治療後

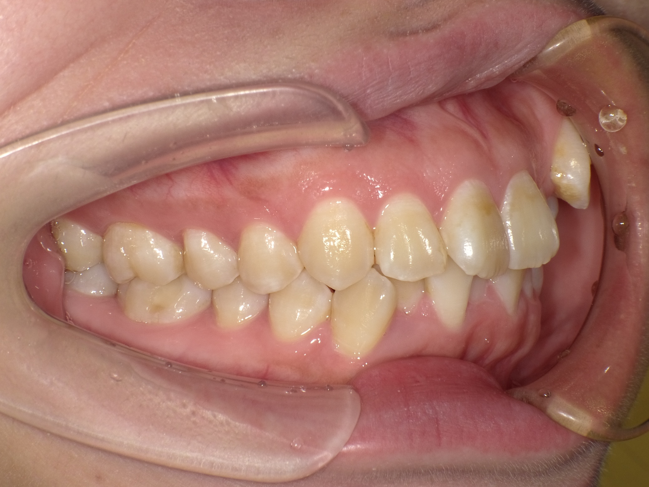
口内右
治療前

治療後

口内左
治療前

治療後

口内上
治療前

治療後

口内下
治療前

治療後
