症例紹介case
- TOP
- 症例紹介
マウスピース型矯正装置
30代女性 前歯のガタつきがきになる
症例情報
- 症例名
- 上下の前歯に捻転と中等度のガタつきを認める症例
- 患者様のご希望
- 前歯のガタつきがきになる
- 治療期間
- 1年5ヶ月
- 費用
- 825000
- 治療内容
- インビザライン(マウスピース矯正)非抜歯
- 治療に伴うリスク・副作用
- ・矯正装置による不快感や違和感、軽い痛みは、通常数日から1〜2週間で慣れることが多いです。
・矯正治療では装置の適切な使用や定期的な通院など、患者さま自身の努力が求められます。治療結果や治療期間に影響を与えます。
・治療中は虫歯や歯周病のリスクが高まるため、丁寧な歯磨きや定期的なメンテナンスが重要です。また、歯が動くことで、隠れていた虫歯が露出することもあります。
・治療中に金属などに対するアレルギー反応が現れる場合があります。
患者様の情報
- 年齢
- 30代
- 性別
- 女性
- ご職業
- 会社員
症例写真
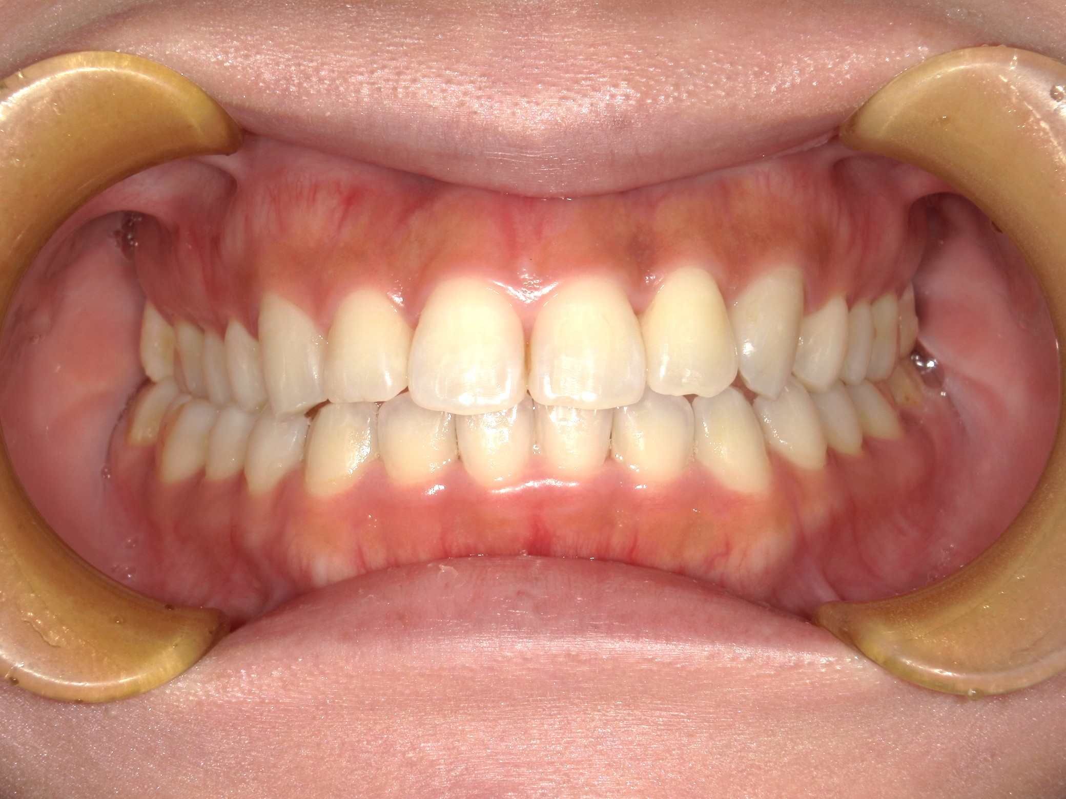
口内正面
治療前

治療後

上顎左右側切歯に約90度の捻転を認め、また咬合不良を認めました。
マウスピース矯正を希望されたため、前歯にIPRを行うことで捻転改善のスペースを作り、非抜歯にて配列することとしました。
90度近い捻転となると、マウスピース矯正単独では改善が難しいため、顎内でのゴムを使用し改善を図ることとしました。
結果的には十分な捻転の改善を達成し、咬合も正しく確立されました。
口内右
治療前

治療後

口内左
治療前

治療後

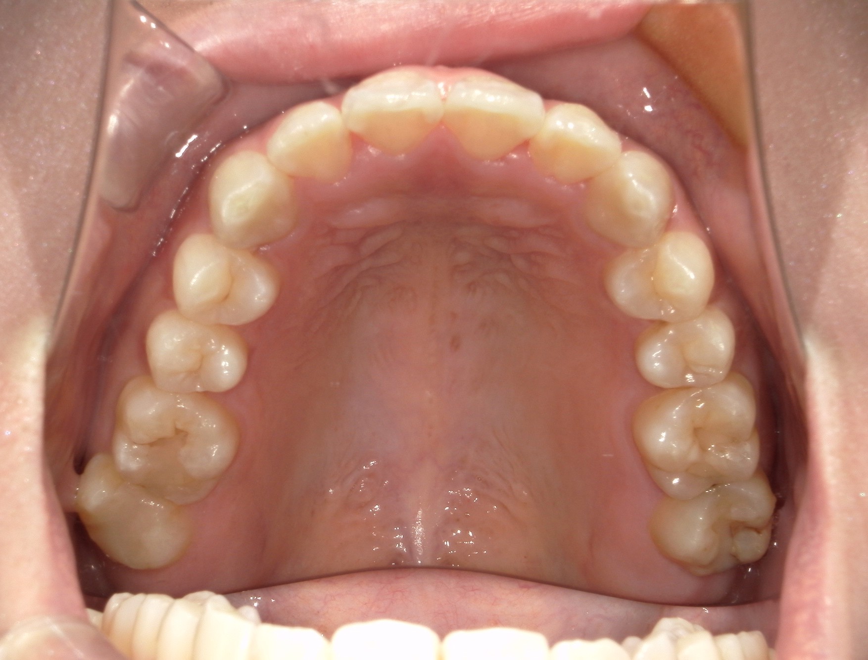
口内上
治療前

治療後

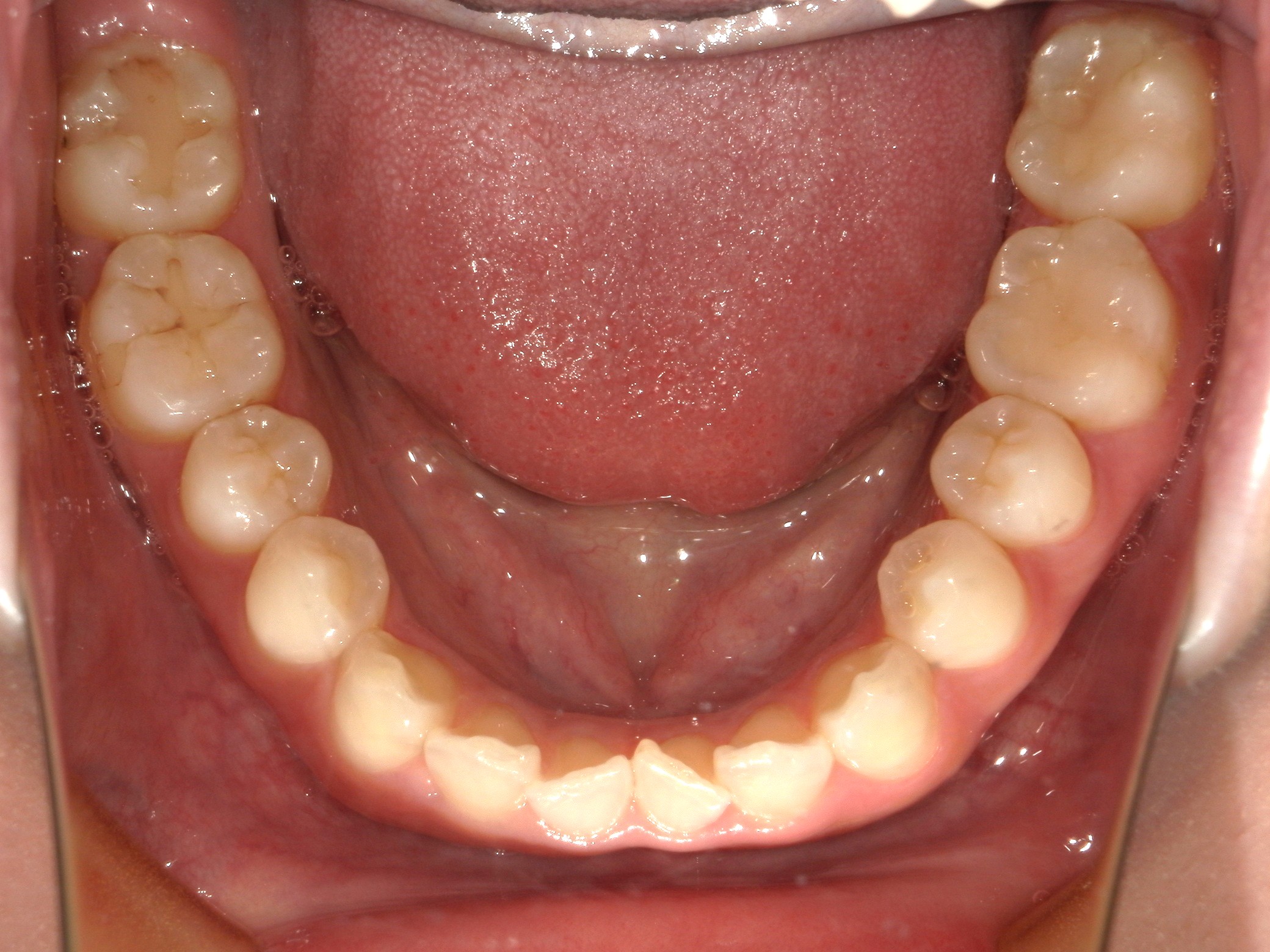
口内下
治療前

治療後
