まずはご相談から矯正相談予約

かきうち歯科矯正歯科公式サイト

来院のご案内

成人矯正orthodontics

成人矯正
  1. TOP
  2. 成人矯正

美しさと噛み合わせを両立した笑顔へconcept

顔全体の印象UP&正しく噛める喜び

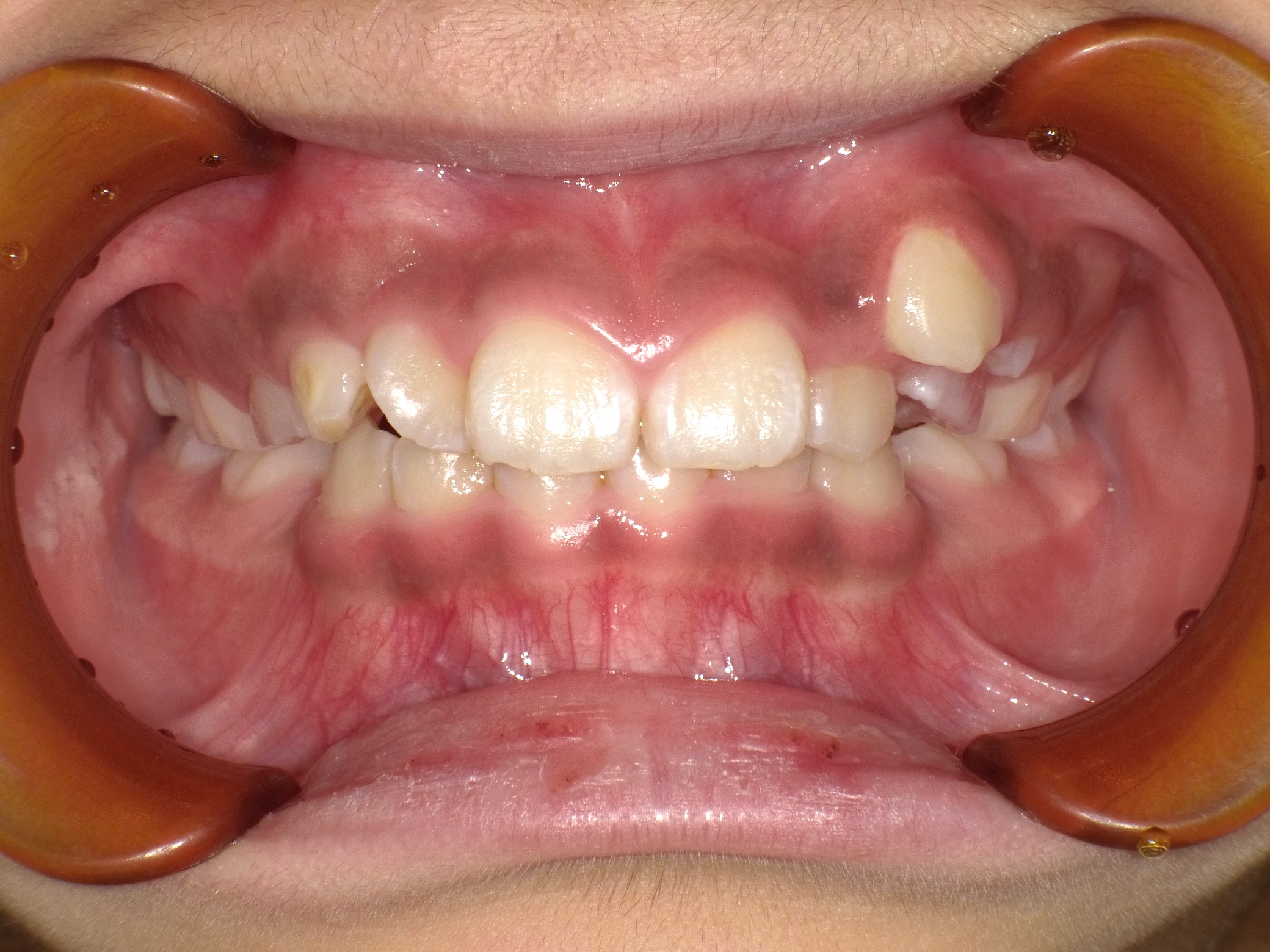
20代、30代でご自分の印象を気にされている方や、人前に立つ仕事をされている方はご自身の歯並びや笑顔が気になるのではないでしょうか。「口を開けて笑うのが苦手」「口元に自信が無いからマスクを外すのが怖い」などコンプレックスをお持ちの方も多いかと思います。また、嚙み合わせの不具合から、上手く噛むことが出来ずに食事がストレスになってしまう方もおられます。

顔全体の印象UP&正しく噛める喜び

矯正治療は様々な治療法によって、そういった悩みでお困りの方の歯並びを改善し“美しい歯並び”を目指す治療です。この“美しい歯並び”を獲得することは、ご自身の明るい笑顔に繋がり、人前で口を開けて笑えたり、マスクを外すことに抵抗がなくなったり、日々の自信に繋がっていきます。 また、“良い噛み合わせ”は食べる喜び噛める喜びはもちろん、清掃しやすく、むし歯や歯周病への予防としても有効であり、20代、30代の方だけでなく、幅広い年齢の方に治療を受けていただく価値があると思います。

症例に合わせた様々な矯正方法method

目立ちにくい矯正

セラミックブラケット InVu

ワイヤー矯正を行う際、金属だとどうしても目立ってしまいます。そこで“美しく楽しくポジティブに矯正治療を”と考えられたのが、この Invu です。

歯の色に近い乳白色のセラミック製ブラケットによる、歯に溶け込むような自然な白さを特徴としており、金属製のブラケットに比べて目立ちにくく笑顔の妨げになりません。当院ではエラスティックワイヤーをはじめとして、すべて審美性に優れた材料を使用して、治療後だけでなく治療中の快適な生活もサポートいたします。

Invuの特徴
  • セラミックブラケットの中でも、非常に自然な色調。日本人の歯によくなじみ、目立ちにくい
  • 変色や色素沈着がほとんどなく、清潔感を期待できる
  • 従来のセラミックブラケットより薄く小さいので違和感が少ない
  • ホワイトワイヤーを組み合わせることで、より自然に目立ちにくい治療が可能
セラミックブラケット InVu
Invuの費用

1歯 3,300円

  • 自由診療となりますので保険診療外となり全額自己負担となります。
  • 費用は症例によって異なります。
治療の流れ

審美性を追求した矯正

マウスピース型矯正装置(インビザライン)

透明で目立ちにくい、マウスピース矯正装置です。マウスピース矯正装置です。従来の矯正のようにワイヤーなどを使わず、マウスピースによって歯列を矯正していきます。審美性だけでなく、外すことが出来る矯正装置なので食事の時に外すなど利便性が高く、口の中への装置の設置が無く患者さまの負担が少ないため、現在主流となってきている装置です。

マウスピース型矯正装置(インビザライン)
マウスピース型矯正装置の費用
初診相談料

3,300円

精密検査・診断料

33,000円

矯正治療費用

495,000円(部分)
825,000円(全顎)

  • 自由診療となりますので保険診療外となり全額自己負担となります。
  • 費用は症例によって異なります。
治療期間

3ヶ月(部分)
1年6ヶ月~2年6ヶ月(全顎)

リスク・副作用
  • 装着時間を守らないと十分に歯が動かない可能性がある
  • ワイヤー矯正より適応範囲が狭い
治療の流れ

コストを抑えた矯正

部分矯正(M.T.M.)

本格的な歯列矯正とは違い、部分的に悪い所のみを修正する矯正治療です。本格的な矯正治療より期間は短く、およそ3ヵ月~1年となります。ただし、歯並び、噛み合わせを正しく整えるには、基本的には全体的な矯正が必要となるため、治療期間などにより全体の矯正を希望されない場合が主となります。

部分矯正が向いている症例
  • 下の前歯のガタガタのみ治療したい
  • 前歯の噛み合わせが1本だけ反対になっているので治療したい
  • 歯が抜けたまま放置していて、倒れ込んだ歯をまっすぐに戻したい
  • むし歯が歯ぐきの中まで進んでしまい、そのままでは歯を残すのが難しい場合
  • 前歯のすきっぱを治療したい
部分矯正の特徴
  • 動かしたい歯だけを動かすので全体矯正に比べて治療期間が短い
  • 歯全体の矯正に比べて費用を安く抑えることが可能です
  • 部分的に悪いところのみを矯正するので他の歯の負担を減らすことが出来ます
部分矯正の費用
初診相談料

3,300円

精密検査・診断料

33,000円

矯正治療費用

165,000~330,000円

  • 自由診療となりますので保険診療外となり全額自己負担となります。
  • 費用は症例によって異なります。
治療期間

2ヶ月~6ヶ月

リスク・副作用
  • 噛み合わせの改善は見込めない
  • 限られた症例にしか対応できない
治療の流れ

難症例対応・スピード矯正

歯科矯正用アンカースクリューを使用した矯正歯科治療

この治療は、従来の矯正治療では困難であった歯の移動を可能とし、患者様の治療負担の軽減、非抜歯での治療の可能性の拡大が見込めます。また治療期間の短縮を目的として行います。

矯正に使うインプラントは、図のような幅1.3~1.5mm程度、長さ8~10mm程度の小さなスクリュータイプのもので、矯正治療終了後には除去し、その跡が残ったりすることもありません。通常の矯正治療は歯と歯の引き合いとなるため、動かしたくない歯もわずかながら動きが出ることになります。歯科矯正用アンカースクリューを使用した矯正歯科治療では、インプラントから動かしたい歯のみを選択的に動かすことができるため、複雑な歯の動きや、ロスのない治療が可能です。かきうち歯科矯正歯科ではCTも完備しているため、平面の写真ではわかりにくい歯の根の傾きや、歯と歯の間の距離を適確に把握し、安全で精度の高い治療が行えます。

歯科矯正用アンカースクリューを使用した矯正歯科治療の特徴
  • 通常の矯正治療では難しい難症例にも対応が可能
  • 動かしたい歯だけに直接アプローチが出来るため負担を抑えた治療が出来る
  • 歯列全体をコントロールすることでなるべく抜歯せずに治療が出来る
  • 麻酔の時間を含めて15分~20分程度で埋入可能
  • 術後の腫れや痛みが出る可能性が低い
歯科矯正用アンカースクリューを使用した矯正歯科治療
歯科矯正用アンカースクリューを使用した
矯正歯科治療の費用

1本 27,500円

  • 自由診療となりますので保険診療外となり全額自己負担となります。
  • 費用は症例によって異なります。
治療の流れ

さまざまな症例に対応

表側矯正(ワイヤー矯正)

スタンダードな矯正方法で、歯の表側にブラケットという矯正装置を装着して歯を動かしていくものです。写真は、セラミックブラケットと呼ばれる、歯に良く馴染む白色の審美性に優れた装置で、当院ではこの装置をお選びいただくこともできます。併せて白いワイヤーを使用できますので、矯正期間中も気づかれにくくなります。

表側矯正(ワイヤー矯正)
表側矯正(ワイヤー矯正)
表側矯正(ワイヤー矯正)
表側矯正の特徴
  • さまざまな症例に対応できる
  • 治療法も確立されていて、安定した優れた治療結果を出せる
  • 1回あたりの治療時間が比較的短くすむ
  • 発育障害などがでにくい
  • 基本となる治療のコストを比較的抑えやすい
表側矯正の費用
初診相談料

3,300円

精密検査・診断料

33,000円

矯正治療費用

770,000円

  • 自由診療となりますので保険診療外となり全額自己負担となります。
  • 費用は症例によって異なります。
治療期間

24ヶ月(2年)

リスク・副作用
  • 矯正装置が目立つ
  • 食事・歯磨きがしにくい
  • 痛みや違和感が出やすい
治療の流れ

成人矯正の治療の症例case