いい歯並びは
人生を変える。
毎朝、鏡を見るたびに自分の笑顔を好きになれる。
食事のたびに噛める喜びで笑顔がこぼれる。
私たちはあなたの笑顔を歯科医としてサポートします。
かきうち歯科矯正歯科の想いCONCEPT
人の数だけケースがある。患者さんの数だけ治療計画がある。
1人ひとりのお口の中の事情は、似たような場合もありますが、完全に同じケースというものはありません。1人ひとり個性が違うのと全く同じです。さらに患者様のご事情・ご要望もそれぞれです。ですから、全ての場合に、新しい目で診療方針を検討することが必要です。
かきうち歯科矯正歯科では、多くの経験と新しい技術・知識・設備や装置、さらに複数の医師がそれぞれの観点から診療方針を考え、より良いゴールを目指すことで成し得る高いレベルの治療を実現します。
「審美性」×「機能性」
見た目の美しさを求めた「審美性」の高い美しい歯並び、 噛む喜びを実感できる「機能性」の高い理想的な噛み合わせ。私たち、かきうち歯科矯正歯科はこの二つの要素を高い次元で両立させることで「理想的な歯科矯正」を実現します。
選ばれる理由Reason
01Reason
約30年、多くの
積み重ねた治療成績と実績
かきうち歯科矯正歯科では開院以来、約30年間で数多くの歯科矯正の患者様が治療を終えられています。 様々な患者様と真摯に向き合い続け、常に患者様の笑顔を求めてより良い治療を追求してきました。
私たちのこの想いが患者様の満足につながり、治療結果に満足頂いた患者様が当院の評判を広めてくださることで、来院される患者様は地元の方だけでなく、京都、和歌山、岡山といった遠方からも多数の患者様に来院・ご相談を頂いています。
02Reason 患者様に合わせた様々な矯正治療
それぞれの患者様にはそれぞれの悩みやご要望があり、お口の中の事情もまたそれぞれ違うものです。
現在の矯正治療は、従来の一般的なワイヤー治療のみに限らず、患者様のご要望や状況に合わせた様々な治療手法があります。
日常生活で矯正していることを感じさせずマウスピースで矯正を行うマウスピース型矯正装置(インビザライン)や、難症例でも対応可能で負担の少ないインプラントアンカー、ワイヤー治療でありながら目立ちにくいセラミックブラケットなど。
当院では患者様の状況を検査にてしっかりと確認し、ご要望をお伺いしながら複数の治療方法の提示・適した方法のご提案をさせていただきます。ぜひ一度ご相談ください。
03Reason コストを抑えわかりやすい料金体系
矯正治療は、基本的に自由診療で保険適用とならないため費用が高額になりがちです。
そこで私たちは、より多くの患者様に治療を検討して頂き、悩みを解決するサポートをしたいという想いから、明確でわかりやすい料金体系を設定しています。
この料金体系は開院以来変更しておらず、多くの患者様の不安と負担を軽減してきました。
また、出来るだけ費用を抑え、 追加費用などが途中にかかったりすることがないよう、治療前のカウンセリング・検査にてしっかりと治療計画・費用をご説明させて頂き、納得されたうえで治療を進めていきます。さらにマウスピース型矯正装置(インビザライン)についても同様に、費用は一律となるように設定しております。
04Reason CT撮影を含めた精密な検査
かきうち歯科矯正歯科ではインプラントアンカーを使った治療や埋伏している歯がある場合など、お口の状態・状況において必要な場合は治療前にCT撮影を行っています。
これにより3D画像上で歯がどのような位置関係にあるのか、対象の歯を移動することは可能なのかといった情報を正確に知り、無駄な治療を避け、必要な治療を必要な場所に、より良い治療計画を立てることが可能です。
また、歯の正確な状況を把握することで、治療方法においてより負担の少ない治療や、より短期間で済む治療など選べる選択肢を増やせる可能性もあり、これは患者様の負担を軽減することにも繋がります。
私たちは、治療だけでなく事前の検査・カウンセリングをしっかりと行い治療計画を立てることが、患者様の安心や治療の精度に繋がると考えております。
05Reason できるだけ歯を抜かない矯正治療
歯は一度失えば戻ることはなく、かけがえのないものです。
人間の歯は人工物では再現出来ない様々な機能を持っており、感覚や硬さなどもそれぞれのお口に合わせた世界に一つだけのものです。
また、健康な歯を多く残していれば、将来的にお口にトラブルが起きた際に治療の選択肢を増やすことも出来ます。
機能的な部分だけでなく、精神的にも自分の歯を抜くということは精神的負担に繋がると考えられ、実際に患者様からも治療前のヒアリングにて「歯を抜かずに治療できますか?」というご相談・ご要望を多く頂きます。
そこで、私たちは治療にあたって、しっかりとした検査とヒアリングを実施し、まずは歯を抜かずにすむ治療方法を第一に探りながら、治療計画を立案しています。
複数の医師が在籍する、かきうち歯科矯正歯科だから出来る多角的な診断。Multiple Perspectives
矯正治療にも精通した理事長・院長とドクター4名で、あらゆる患者様のケース毎に診療方針を検討します。また、状況に応じて矯正歯科医だけでなく様々な専門分野の医師が意見を出し合い、微妙な判断を迫られるような場合も、より優れたゴール設定が可能となります。
矯正歯科における
多角的な診断の重要性

矯正治療は単純に歯を動かせばいいというものではなく、それぞれの患者さんの口腔内の状態だけでなく、顔の骨格や噛み合わせ、さらには将来的な歯の動きなど、多くの要素を考慮に入れる必要があります。これを一人の医師が判断した場合は一人の医師の考えのみで治療計画を立てることになってしまい、計画の改善や対案が出る事はありません。
複数の医師がそれぞれの意見を出し合った場合では、計画をより良い方向に改善し、複数の視点からそれぞれの意見をすり合わせることで治療の精度を上げることに繋がります。
多角的な診断による
患者様に合わせた治療計画

治療計画を立てる際に複数の医師が診断に関与することで、それぞれの視点からの意見や知識を共有し、それぞれの患者様に合わせた治療計画を立てることが可能となります。例えば、矯正歯科医は歯の動きと配置についての専門的な知識を提供し、それに他の医師がそれぞれの専門的知識を合わせて活用することで、患者さん一人ひとりに適した治療計画をより良い形で提供することが可能となります。
この治療計画こそ複数の医師がそれぞれの意見を出し合い、多角的な診断を行うことのメリットであり、患者様のより良いゴールを目指す事へと繋がっていきます。
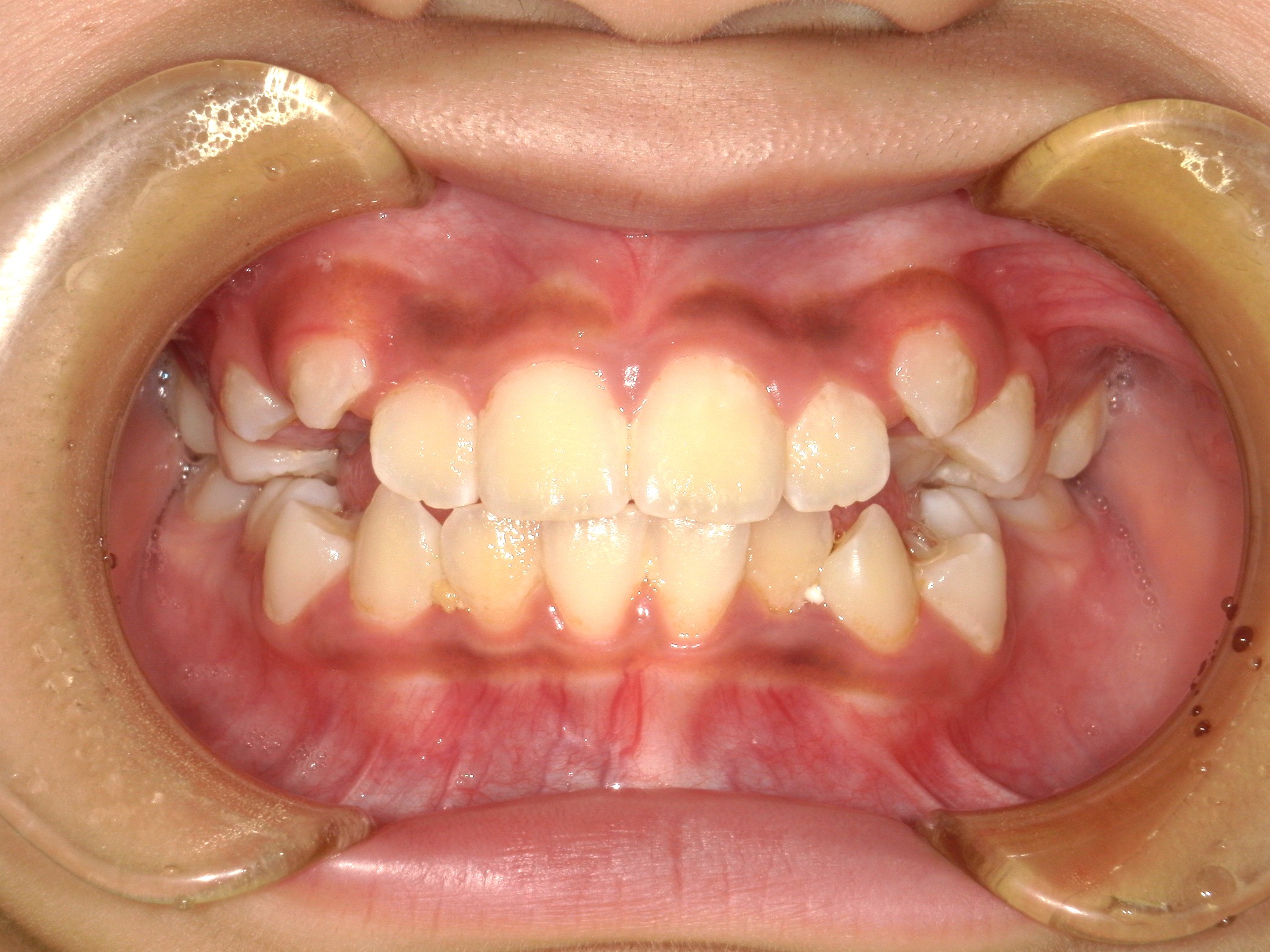
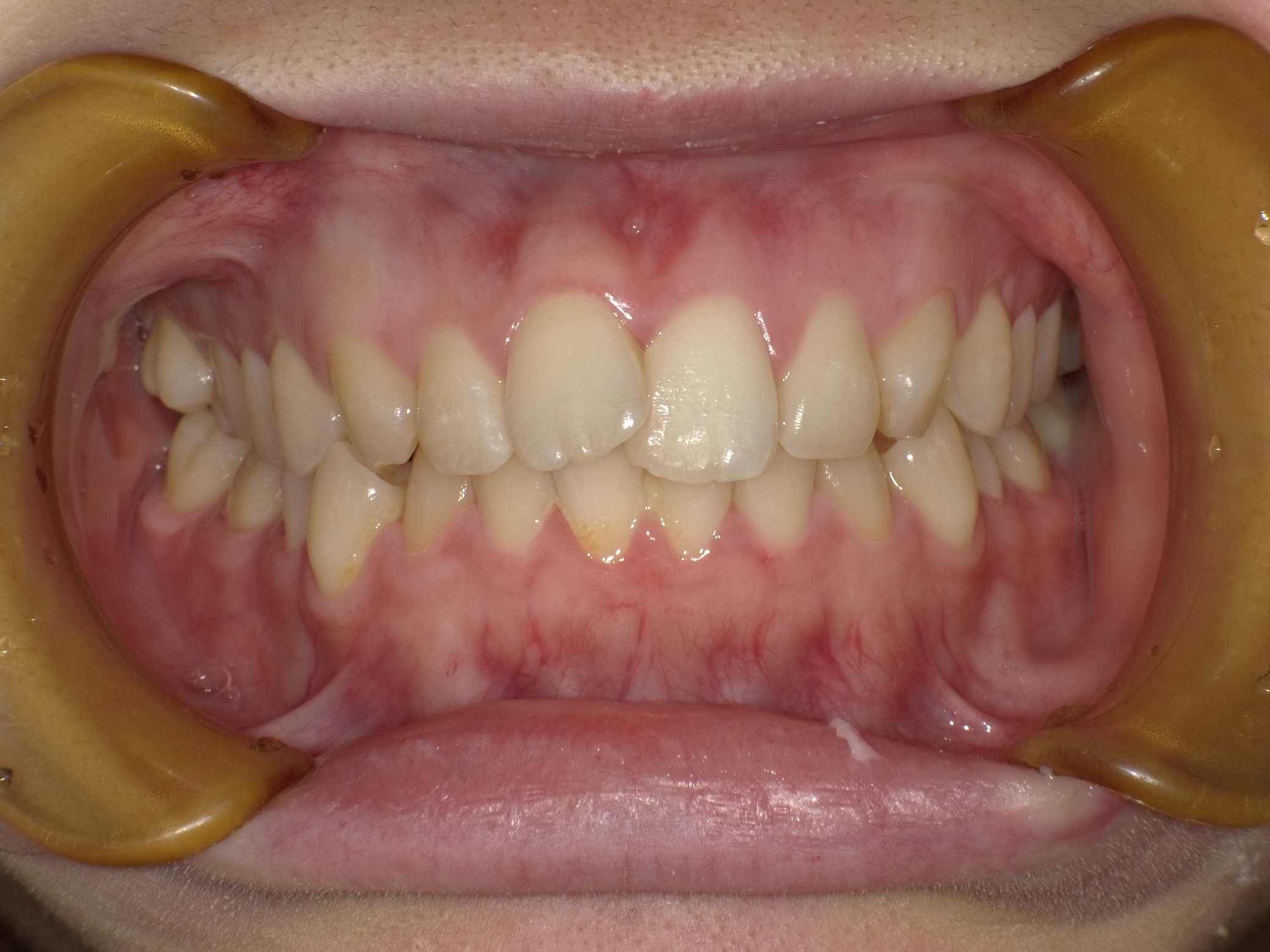
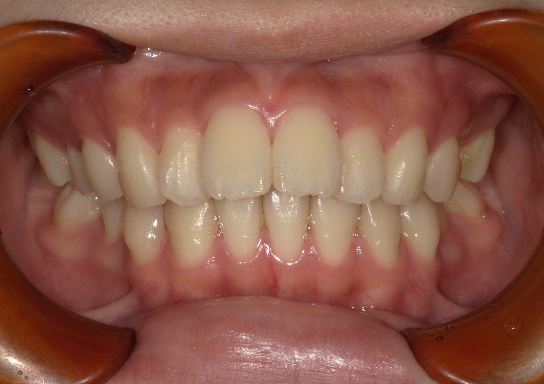
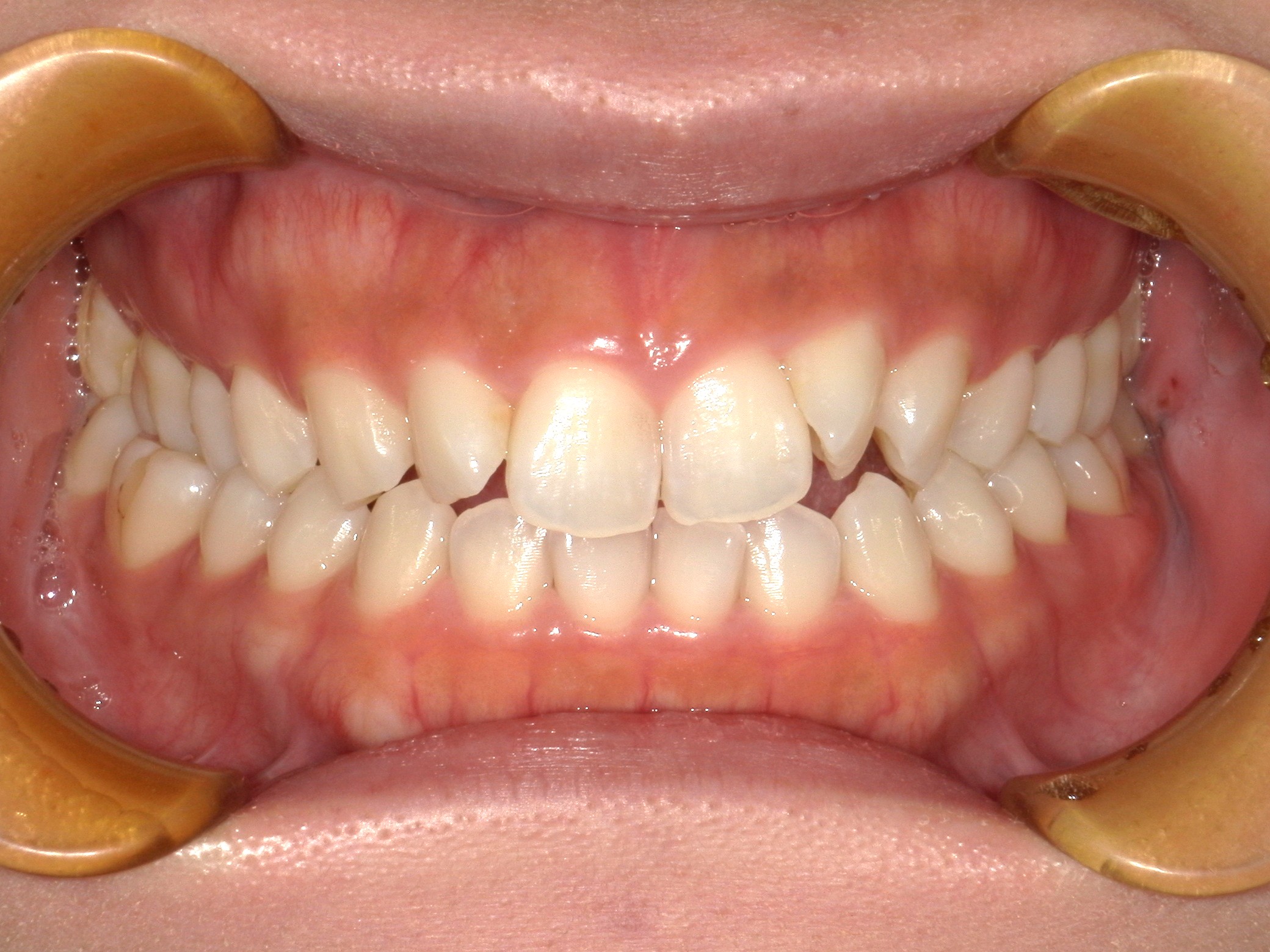
症例紹介Case
- all
- マウスピース型矯正装置
- 小児矯正
- 成人矯正
マウスピース型矯正装置(インビザライン) Invisalign
透明で見えにくい・目立ちにくい、自分で取り外しもできるマウスピース矯正。 患者さんの日々の生活に寄り添った治療ができる、オーダメイドの歯科矯正システム。
- 複数のドクターによる多角的な診断
- わかりやすい料金体系
- 新しい設備とリカバリー技術
小児矯正Pediatrics
適した時期に適した治療法を。
かきうち歯科矯正歯科ではお子さまの将来を見据えた矯正を行っています。
- 抜歯・手術の可能性を限りなく減らす
- 永久歯列の治療を簡単にし、治療期間も減少させる
- 歯並びにコンプレックスを抱える前に治療を終えられる
- 成長を利用することができる
成人矯正Orthodontics
“もう遅い”と諦めていませんか?
今からでも遅くありません。
美しい口もとで毎日をより輝くものへ一緒に変えていきましょう。
- 20代~60代、年齢を問わず矯正は可能
- 審美性にこだわった治療
- 目立たない矯正
- 安定し優れた治療結果を得るための経験と新しい技術